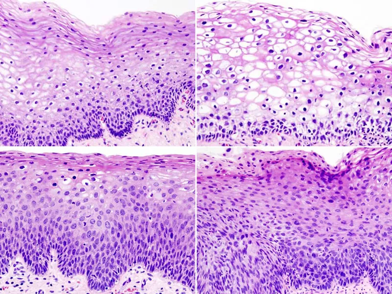
Dysplasia - Disorderly Arrangement
- Definition: Disordered growth and maturation of epithelium; a non-neoplastic, disorderly proliferation.
- Hallmarks:
- Loss of cellular uniformity (pleomorphism) & architectural orientation.
- ↑ Nuclear-to-cytoplasmic (N:C) ratio.
- Nuclear hyperchromasia and clumping.
- Increased and/or atypical mitotic figures.
- Reversibility: Considered pre-malignant, but may be reversible if the inciting stressor is removed.
- Progression: Can progress to carcinoma in situ (CIS) if the stimulus persists.
⭐ Full-thickness dysplasia is Carcinoma In Situ (CIS). The key distinction from invasive carcinoma is that dysplastic changes, including in CIS, are confined by an intact basement membrane.

Progression & Grading - The Slippery Slope
- Dysplasia exists on a spectrum. The risk of progression to invasive carcinoma increases with the grade of dysplasia. It represents a stepwise accumulation of mutations.
- Grading is based on the vertical extent of dysplastic cells within the epithelium.
- Mild (Low-Grade): Involves the basal 1/3 of the epithelium (e.g., Cervical Intraepithelial Neoplasia - CIN 1).
- Moderate (High-Grade): Involves up to 2/3 of the epithelium (e.g., CIN 2).
- Severe (High-Grade): Involves more than 2/3 of the epithelium (CIN 3).
- Carcinoma in Situ (CIS): Full-thickness involvement, but the basement membrane is intact (CIN 3).

⭐ Dysplasia, particularly when mild to moderate, is potentially reversible upon removal of the inciting cause. Severe dysplasia is less likely to regress and often progresses.
Clinical Examples - Common Culprits
- Barrett's Esophagus
- Caused by chronic acid reflux (GERD).
- Intestinal metaplasia of the esophageal squamous epithelium.
- Cervical Dysplasia (CIN)
- Strongly associated with high-risk HPV types (16, 18, 31, 33).
- Detected via Pap smear; graded CIN 1, 2, or 3.
- Bronchial Dysplasia
- Common in habitual smokers due to chronic irritation.
- Precursor to squamous cell carcinoma of the lung.
- Actinic (Solar) Keratosis
- Caused by chronic sun (UV light) exposure.
- A precursor to squamous cell carcinoma of the skin.

⭐ High-Yield: Barrett's esophagus carries a significant risk of progression to esophageal adenocarcinoma. Regular endoscopic surveillance is critical for early detection of high-grade dysplasia or carcinoma.
High‑Yield Points - ⚡ Biggest Takeaways
- Dysplasia is disordered growth, a non-neoplastic proliferation that is a precursor to carcinoma.
- Characterized by a loss of cell uniformity (pleomorphism) and architectural orientation.
- Key features include an increased nuclear-to-cytoplasmic (N:C) ratio, nuclear hyperchromasia, and increased mitoses.
- Unlike carcinoma, dysplasia does not invade the basement membrane.
- It is potentially reversible if the inciting stimulus is removed.
- High-grade dysplasia is often considered carcinoma in situ.
Unlock the full lesson and continue reading
Signup to continue reading this lesson and unlimited access questions, flashcards, AI notes, and more