Apoptosis Intro - The Body's Tidy Takedown\n\n* Definition: ATP-dependent, genetically programmed cell death involving a coordinated cascade of caspases. It's a neat, single-cell process with no inflammation, unlike necrosis.\n* Physiologic Examples:\n - Embryogenesis (e.g., removal of interdigital webs).\n - Endometrial shedding during the menstrual cycle.\n - Removing self-reactive lymphocytes.\n* Pathologic Examples:\n - Viral infections (e.g., cytotoxic T-cell killing of infected cells).\n - DNA damage or misfolded protein accumulation.\n - Atrophy in parenchymal organs after duct obstruction.\n\n
\n\n> ⭐ Key Distinction: Unlike necrosis, apoptosis does not trigger an inflammatory response because cell contents are contained within apoptotic bodies and cleared by phagocytes.
Intrinsic Pathway - Mitochondrial Mayhem
- Triggered by internal insults: DNA damage (p53 mediated), misfolded proteins (ER stress), or loss of growth factors.
- Regulated by the BCL-2 family of proteins, which control mitochondrial permeability.
- Anti-apoptotic (pro-survival): BCL-2, BCL-xL. They prevent leakage. 📌 BCL-2 = Cancer Loves to 2 Live.
- Pro-apoptotic: BAX, BAK. When activated, they dimerize and form pores in the outer mitochondrial membrane.
- Cellular stress inactivates BCL-2/BCL-xL, allowing BAX/BAK to create channels.
- This ↑ permeability allows cytochrome c to escape into the cytosol.
- In the cytosol, cytochrome c binds to APAF-1 (Apoptotic Peptidase Activating Factor 1), forming the apoptosome, which activates initiator Caspase-9.
⭐ Follicular lymphoma is often driven by a t(14;18) translocation, which causes overexpression of the anti-apoptotic BCL-2 protein, preventing cancer cells from undergoing apoptosis.

Extrinsic Pathway - Death's Doorbell
- Trigger: Initiated by extracellular signals. Ligands from other cells bind to "death receptors" on the target cell surface.
- Key Receptors & Ligands:
- Fas (CD95) receptor binds to Fas Ligand (FasL).
- TNF Receptor 1 (TNFR1) binds to Tumor Necrosis Factor-α (TNF-α).

⭐ Exam Favorite: Cytotoxic T-lymphocytes (CTLs) kill virus-infected cells and tumor cells by expressing FasL on their surface. This binds to Fas on the target cell, triggering apoptosis and forming a core part of immune surveillance.
- The key initiator caspase for this pathway is Caspase-8.
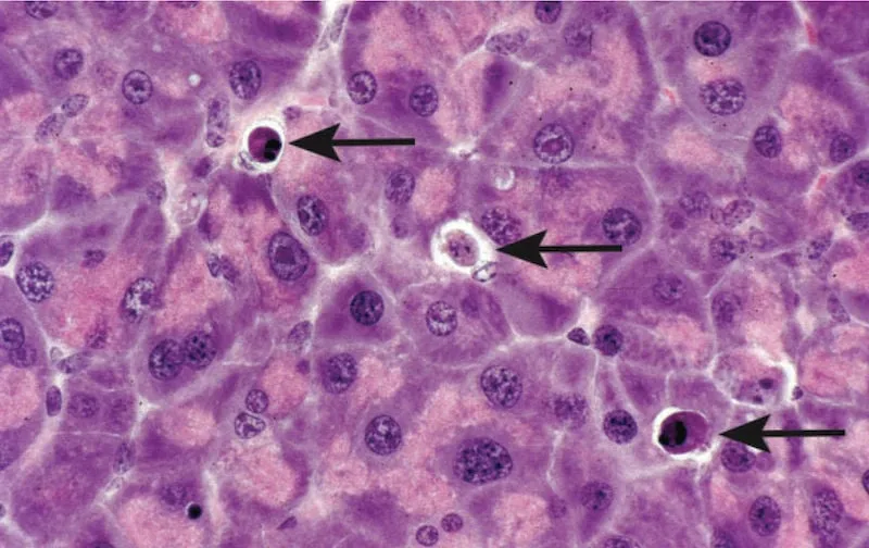
Execution & Cleanup - Taking Out the Trash
- Common Pathway: Both intrinsic and extrinsic pathways converge on activating executioner caspases (e.g., Caspase-3, 6).
- Execution Phase:
- Caspases dismantle the cytoskeleton & activate endonucleases to degrade DNA.
- The cell condenses and buds off into membrane-bound apoptotic bodies.
- Cleanup Crew:
- Apoptotic bodies display “eat-me” signals (e.g., phosphatidylserine).
- These are rapidly engulfed by phagocytes (e.g., macrophages).

⭐ Unlike necrosis, apoptosis is an orderly, non-inflammatory process because cell contents are packaged and cleared before they can leak out and incite a reaction.
High‑Yield Points - ⚡ Biggest Takeaways
- Apoptosis is an ATP-dependent programmed cell death that eliminates cells without significant inflammation.
- The intrinsic (mitochondrial) pathway is controlled by the Bcl-2 family, leading to cytochrome c release.
- The extrinsic (death receptor) pathway is triggered by Fas-FasL or TNF-α binding.
- Both pathways converge to activate executioner caspases (e.g., Caspase-3), the key enzymes of apoptosis.
- Morphologic hallmarks include cell shrinkage, chromatin condensation, and formation of apoptotic bodies.
Unlock the full lesson and continue reading
Signup to continue reading this lesson and unlimited access questions, flashcards, AI notes, and more