Vasculitis Basics - Vessel Wall Woes
- Inflammation & necrosis of blood vessel walls, leading to downstream tissue ischemia and potential organ damage.
- Pathogenesis is often immune-mediated via immune complexes, anti-neutrophil cytoplasmic antibodies (ANCAs), or pathogenic T-cells.
- Classified by the predominant vessel size involved.
⭐ Most vasculitides present with nonspecific constitutional symptoms like fever, myalgia, arthralgia, and fatigue.
Large-Vessel - Aortic Arch Archons
-
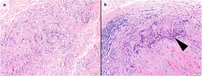
Giant Cell (Temporal) Arteritis
- Age > 50; affects branches of carotid artery.
- Symptoms: Unilateral headache, jaw claudication, tender temporal artery.
- Assoc: Polymyalgia Rheumatica (PMR).
- Path: Granulomatous inflammation, fragmented internal elastic lamina; ↑ ESR, CRP.
- Tx: High-dose corticosteroids STAT to prevent blindness.
-
Takayasu Arteritis
- Age < 50 (typically young Asian women).
- Symptoms: "Pulseless disease" → weak upper extremity pulses, fever, night sweats, arthritis.
- Path: Granulomatous thickening of aortic arch & proximal great vessels.
⭐ High-Yield: Unilateral vision loss in GCA is an ophthalmic emergency due to anterior ischemic optic neuropathy (AION). It can become bilateral and irreversible within hours.

Medium-Vessel - Beaded & Fiery
-
Polyarteritis Nodosa (PAN)
- Segmental, transmural necrotizing vasculitis.
- Associated with Hepatitis B/C in ~30% of cases.
- Affects renal & visceral arteries; spares pulmonary circulation.
- Creates microaneurysms, giving a "string-of-pearls" or "rosary bead" appearance on angiography.
- Presents with fever, abdominal pain, myalgias, and hypertension.
-
Kawasaki Disease
- Affects Asian children < 4 years old.
- 📌 CRASH & Burn: Conjunctivitis, Rash, Adenopathy, Strawberry tongue, Hand-foot changes + Fever >5 days.
⭐ High risk of coronary artery aneurysms. Treat urgently with IVIG and aspirin.

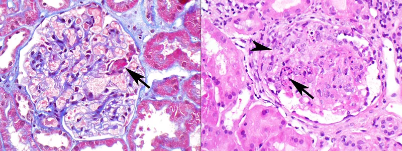
Small-Vessel - ANCA's Angry Armada
- Pauci-immune necrotizing vasculitis: Characterized by little to no immune complex deposition on vessel walls. All are associated with Anti-Neutrophil Cytoplasmic Antibodies (ANCA).
| Feature | Granulomatosis w/ Polyangiitis (GPA) | Microscopic Polyangiitis (MPA) | Eosinophilic GPA (EGPA) |
|---|---|---|---|
| ANCA | c-ANCA (anti-PR3) >80% | p-ANCA (anti-MPO) ~70% | p-ANCA (anti-MPO) ~50% |
| Key Organs | Upper respiratory (sinusitis, otitis), Lower respiratory (nodules, hemoptysis), Kidneys (RPGN) | Lungs, Kidneys (RPGN). No nasopharyngeal involvement. | Lungs, Heart, Skin, Nerves (mononeuritis multiplex). Late-stage renal. |
| Histology | Granulomatous inflammation | Non-granulomatous | Eosinophilic infiltrates, granulomas |
| Unique | Nasopharyngeal destruction | No granulomas | Allergic rhinitis, asthma, peripheral eosinophilia |
⭐ ANCA vasculitides cause a pauci-immune (literally "few-immunes") glomerulonephritis. Biopsy shows necrotizing glomerulonephritis with crescents but lacks significant Ig/C3 deposition on immunofluorescence.

High‑Yield Points - ⚡ Biggest Takeaways
- Giant Cell Arteritis: Most common vasculitis in adults >50; presents with headache, jaw claudication, and risk of blindness. Associated with high ESR.
- Kawasaki Disease: Affects children <5; presents with fever & CRASH symptoms. Can lead to coronary artery aneurysms.
- Polyarteritis Nodosa: Necrotizing vasculitis of medium arteries, strongly associated with Hepatitis B, and characteristically spares the lungs.
- GPA (Wegener's): Triad of sinus, lung, and kidney disease; positive for c-ANCA.
- Thromboangiitis Obliterans: Seen in heavy smokers; can lead to gangrene of digits.
Unlock the full lesson and continue reading
Signup to continue reading this lesson and unlimited access questions, flashcards, AI notes, and more