Aortic Stenosis & Regurgitation - Gate Problems
-
Aortic Stenosis (AS): Obstruction of LV outflow.
- Causes: Senile calcification (>60 yrs), bicuspid aortic valve (<60 yrs), rheumatic heart disease.
- Murmur: Systolic crescendo-decrescendo, radiates to carotids.
- Symptoms: 📌 SAD Triad: Syncope, Angina, Dyspnea.
- Hemodynamics: ↑LV pressure, concentric hypertrophy, narrowed pulse pressure.
-
Aortic Regurgitation (AR): Retrograde flow into LV.
- Causes: Aortic root dilation (Marfan, syphilis), endocarditis, rheumatic fever.
- Murmur: Diastolic decrescendo, high-pitched, blowing.
- Signs: Wide pulse pressure, water-hammer pulse, de Musset's sign (head bobbing).
⭐ Gallavardin phenomenon: In AS, the murmur's musical component can radiate to the apex, mimicking mitral regurgitation.

Mitral Stenosis & Regurgitation - Doorway Drama
-
Mitral Stenosis (MS): Valve won't open
- Etiology: Rheumatic heart disease is the primary cause.
- Auscultation: Mid-diastolic rumble with a preceding opening snap, best heard at the apex.
- Pathophysiology: ↑ LA pressure → LA enlargement → pulmonary hypertension & atrial fibrillation risk.
- 📌 Mnemonic: OS-DR (Opening Snap, Diastolic Rumble).
-
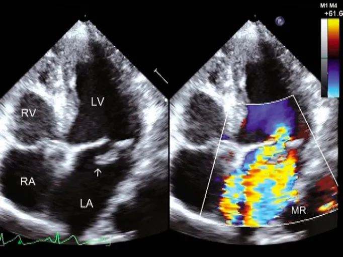
Mitral Regurgitation (MR): Valve won't close
- Etiology: Mitral valve prolapse, ischemic heart disease, infective endocarditis.
- Auscultation: Holosystolic (pansystolic) murmur, high-pitched, loudest at the apex, radiating to the axilla.
- Pathophysiology: LA & LV volume overload → LV dilation & failure.
⭐ In acute MR (e.g., papillary muscle rupture post-MI), the sudden volume load on a normal-sized LA/LV leads to prominent pulmonary edema and hypotension.

Mitral Valve Prolapse & Right-Sided Lesions - Clicks & Whispers
- Mitral Valve Prolapse (MVP):
- Sound: Mid-systolic click, late systolic murmur.
- Patho: Myxomatous degeneration → floppy leaflets balloon into LA.
- Maneuvers: ↓ Preload (Valsalva, standing) → earlier click, longer murmur. ↑ Preload/Afterload (squatting, handgrip) → later click, shorter murmur.
- Associated with Marfan & Ehlers-Danlos syndromes.

- Right-Sided Murmurs:
- 📌 RILE: Right-sided murmurs ↑ with Inspiration.
- Tricuspid Regurgitation: Holosystolic murmur.
- Pulmonic Stenosis: Systolic ejection murmur.
⭐ Maneuver Paradox: The MVP murmur starts earlier and lasts longer with maneuvers that decrease preload (e.g., Valsalva, standing), unlike most other murmurs.
Murmur Maneuvers - The Sound Symphony
- Inspiration: ↑ venous return → ↑ Right-sided murmurs (TS, TR).
- 📌 RILE: Right-sided Increase, Left-sided Expiration.
- Valsalva / Standing (↓ Preload): ↓ most murmurs.
- Increases: HOCM, MVP.
- Squatting (↑ Preload/Afterload): ↑ most murmurs (AS, MR).
- Decreases: HOCM, MVP.
- Handgrip (↑ Afterload): ↑ regurgitant murmurs (AR, MR, VSD).
- Decreases: HOCM, AS.
⭐ HOCM & MVP are exceptions: their murmurs behave opposite to most others with preload changes (Valsalva/squatting).

High‑Yield Points - ⚡ Biggest Takeaways
- Rheumatic fever is the primary cause of mitral stenosis.
- Aortic stenosis presents with Syncope, Angina, and Dyspnea (SAD) on exertion.
- Mitral regurgitation causes a holosystolic murmur that radiates to the axilla.
- Aortic regurgitation has a blowing diastolic murmur and widened pulse pressure.
- Mitral valve prolapse, the most common disorder, has a characteristic mid-systolic click.
- IV drug use is a key risk for endocarditis, typically affecting the tricuspid valve.
Unlock the full lesson and continue reading
Signup to continue reading this lesson and unlimited access questions, flashcards, AI notes, and more