Myocarditis - The Inflamed Heart
- Etiology: Inflammation of myocardium, often leading to myocyte necrosis and cardiac dysfunction.
- Viral: Most common cause (e.g., Coxsackie B, Adenovirus, Parvovirus B19).
- Non-Infectious: Autoimmune (SLE), drug hypersensitivity (clozapine), toxins (cocaine).
- Clinical Features: Highly variable; can mimic acute coronary syndrome. Chest pain, dyspnea, fatigue, arrhythmias. Often preceded by a viral prodrome.
- Diagnosis:
- Labs: ↑ Troponin, ↑ CK-MB, ↑ ESR/CRP.
- ECG: May show diffuse ST elevation or T-wave inversions.
- Gold Standard: Endomyocardial biopsy showing inflammatory infiltrate and myocyte necrosis.
⭐ Fulminant myocarditis can cause cardiogenic shock, while chronic myocarditis is a key cause of dilated cardiomyopathy.

Dilated Cardiomyopathy - Big, Boggy Heart
- Pathophysiology: Most common cardiomyopathy. Characterized by ventricular chamber enlargement and systolic dysfunction (↓ contractility), leading to a dilated, flabby, heavy heart.
- Etiologies: 📌 ABCCCD
- Alcohol abuse
- Beriberi (wet, thiamine/B1 deficiency)
- Coxsackie B virus
- Cocaine use
- Chagas disease (T. cruzi)
- Doxorubicin toxicity
- Also: Hemochromatosis, Sarcoidosis, Peripartum.
- Clinical: Presents as systolic heart failure (left, right, or both). S3 gallop, mitral/tricuspid regurgitation murmurs, arrhythmias.
- Diagnosis: Echocardiogram shows four-chamber dilation and ↓ ejection fraction (< 40%).
⭐ Familial Dilated Cardiomyopathy is common (20-50% of cases), most frequently caused by an autosomal dominant mutation in the Titin (TTN) gene.
Hypertrophic Cardiomyopathy - Dangerously Thick Muscle
- Etiology: Autosomal dominant mutation in sarcomere protein genes (e.g., β-myosin heavy chain).
- Pathophysiology: Asymmetric hypertrophy, usually of the interventricular septum, leading to diastolic dysfunction and potential left ventricular outflow tract (LVOT) obstruction.
- Clinical: Dyspnea, angina, syncope, often post-exertion. Major cause of sudden cardiac death (SCD) in young athletes.
- Auscultation: Harsh crescendo-decrescendo systolic murmur.
- ↑ Intensity: Valsalva, abrupt standing (↓ preload).
- ↓ Intensity: Squatting, handgrip (↑ afterload/preload).
- Diagnosis: Echocardiogram showing septal wall thickness > 1.5 cm.
- Management:
- Meds: β-blockers, verapamil.
- Avoid: Dehydration, diuretics, vasodilators.
- Surgical: Septal myectomy or alcohol ablation for refractory symptoms.
⭐ The murmur of HCM is one of the few systolic murmurs that increases in intensity with maneuvers that decrease venous return (Valsalva, standing).
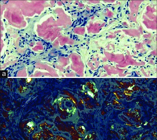
Restrictive Cardiomyopathy - Stiff, Rigid Prison
- Pathophysiology: Rigid, noncompliant ventricles impair diastolic filling, leading to backup pressure. Systolic function is often preserved until late stages.
- Etiologies: Think "Puppy Leash": Post-radiation fibrosis, Loeffler endocarditis, Endomyocardial fibrosis, Amyloidosis, Sarcoidosis, Hemochromatosis.
- Clinical: Resembles constrictive pericarditis. Dyspnea, Kussmaul sign (paradoxical ↑ JVP with inspiration). Prominent right heart failure signs.
- Diagnosis:
- ECG: Low-voltage QRS, especially with amyloidosis.
- Echocardiogram: Symmetrically thickened walls, diastolic dysfunction, biatrial enlargement.
- Endomyocardial biopsy is definitive.
⭐ In cardiac amyloidosis, the classic diagnostic clue is the combination of low voltage on ECG despite a thickened myocardium seen on echocardiography.

High‑Yield Points - ⚡ Biggest Takeaways
- Myocarditis is most often viral (Coxsackie B), presenting with chest pain after a URI; histology shows lymphocytic infiltrate.
- Dilated cardiomyopathy, the most common type, is linked to alcohol and doxorubicin, causing systolic dysfunction.
- Hypertrophic cardiomyopathy is an autosomal dominant disorder causing asymmetric septal hypertrophy and risk of sudden death in athletes.
- Restrictive cardiomyopathy results from infiltrative diseases like amyloidosis, leading to diastolic dysfunction.
- Chagas disease (T. cruzi) is a classic infectious cause of dilated cardiomyopathy.
Unlock the full lesson and continue reading
Signup to continue reading this lesson and unlimited access questions, flashcards, AI notes, and more