1st Trimester Screen - Early Peeks & Peaks
- Window: 11-14 weeks gestation.
- Purpose: Early risk stratification for aneuploidies, primarily Trisomy 21 (Down syndrome) and Trisomy 18 (Edwards syndrome).
- Components (Combined Test):
- Ultrasound: Nuchal Translucency (NT). A fluid collection >3.0 mm is a key marker.
- Maternal Serum Analytes:
- ↓ PAPP-A (Pregnancy-associated plasma protein-A).
- ↑ Free β-hCG.

⭐ Absence of the fetal nasal bone on the 11-14 week ultrasound is a powerful soft marker for Trisomy 21.
2nd Trimester Quad - The Marker Squad
-
Performed at 15-22 weeks gestation to screen for aneuploidy and neural tube defects (NTDs). Measures four maternal serum markers:
- Alpha-fetoprotein (AFP)
- Human chorionic gonadotropin (hCG)
- Unconjugated estriol (uE3)
- Inhibin A
-
Interpretation of Results:
- Trisomy 21 (Down Syndrome): ↓ AFP, ↓ uE3, ↑ hCG, ↑ Inhibin A
- Trisomy 18 (Edwards Syndrome): ↓ AFP, ↓ uE3, ↓ hCG
- NTDs or Abdominal Wall Defects: ↑ AFP
-
📌 HI-E: In Trisomy 21, HCG & Inhibin A are High; Estriol & AFP are low.
⭐ The most common cause of an elevated maternal serum AFP (MSAFP) is incorrect gestational dating. Always confirm dates with ultrasound before proceeding to further diagnostic testing.
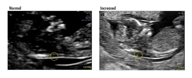
Ultrasound Clues - Soft Markers, Hard Calls

- Soft Markers: Non-specific findings that ↑ risk of aneuploidy but are not diagnostic; many resolve spontaneously.
- ↑ Nuchal Translucency/Fold: Strongest marker for Trisomy 21. NT >3 mm in 1st trimester.
- Echogenic Intracardiac Focus (EIF): Bright spot on fetal heart papillary muscle.
- Echogenic Bowel: Bowel appears as bright as bone. Assoc. w/ Trisomy 21, CF, CMV infection.
- Mild Renal Pyelectasis: AP renal pelvic diameter >4 mm.
- Choroid Plexus Cyst: Often transient; stronger association with Trisomy 18.
⭐ While most soft markers are non-specific, a thickened nuchal fold (≥6 mm) in the second trimester is one of the strongest individual markers for Down syndrome.
cfDNA Screening - Fetal Fragments Foretell
- Non-invasive screening test performed at or after 10 weeks gestation.
- Analyzes cell-free DNA from placental trophoblasts circulating in maternal blood.
- Primarily screens for trisomies 21, 18, 13, and sex chromosome aneuploidies.
- Represents a screening, not a diagnostic test; results require confirmation.
⭐ A low fetal fraction (<4%) can lead to a test failure or an uninformative result, requiring a redraw or alternative screening methods.
High‑Yield Points - ⚡ Biggest Takeaways
- Increased nuchal translucency (NT) is a key first-trimester marker for aneuploidies like Trisomy 21.
- An absent or hypoplastic nasal bone is another strong first-trimester indicator of Down syndrome.
- Abnormal ductus venosus Doppler and tricuspid regurgitation suggest aneuploidy or cardiac defects.
- Key second-trimester soft markers include echogenic intracardiac focus and choroid plexus cysts.
- The 18-22 week anatomy scan is crucial for detecting major structural anomalies.
- Abnormal markers prompt cfDNA or invasive testing like amniocentesis.
Unlock the full lesson and continue reading
Signup to continue reading this lesson and unlimited access questions, flashcards, AI notes, and more