Candida & Aspergillus - Yeast & Mold Mayhem
-
Candida albicans: Dimorphic yeast; normal body flora that becomes pathogenic with immunosuppression.
- Manifestations: Oral thrush (scrapeable white plaques), esophagitis in AIDS (CD4 < 100), vulvovaginitis, endocarditis in IV drug users, disseminated candidiasis.
- Microscopy: Shows budding yeasts and pseudohyphae.
- Treatment: Fluconazole, Caspofungin, or Amphotericin B for systemic infection.
-
Aspergillus fumigatus: Mold with septate hyphae that branch at acute (45°) angles.
- Manifestations:
- Allergic Bronchopulmonary Aspergillosis (ABPA): Type I hypersensitivity reaction.
- Aspergilloma: Fungus ball in pre-existing lung cavities (e.g., from TB).
- Invasive Aspergillosis: Affects immunocompromised patients (neutropenia).
- Manifestations:
⭐ Aspergillus flavus produces aflatoxins, potent hepatotoxins linked to hepatocellular carcinoma.

Cryptococcus & Pneumocystis - The Inhaled Intruders
-
Cryptococcus neoformans
- Heavily encapsulated yeast, found in soil & pigeon droppings; transmitted by inhalation.
- Causes meningoencephalitis in immunocompromised (esp. AIDS with CD4 < 100 cells/mm³).
- Dx: India ink stain (halos), latex agglutination test for capsular antigen.
- Rx: Amphotericin B + flucytosine, followed by fluconazole maintenance.
-
Pneumocystis jirovecii (PJP)
- Fungus causing Pneumocystis Pneumonia; inhaled.
- Classic presentation in AIDS (CD4 < 200 cells/mm³): diffuse interstitial pneumonia.
- Dx: Bronchoalveolar lavage (BAL) fluid stain shows disc-shaped yeasts (silver stain).
- Rx & Prophylaxis: Trimethoprim-sulfamethoxazole (TMP-SMX).

⭐ High-Yield: Look for "soap bubble" lesions in the basal ganglia on brain imaging for Cryptococcus neoformans infection.
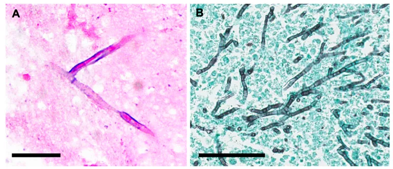
Mucormycosis - The Diabetic's Dread
- Classic Setting: Diabetic ketoacidosis (DKA), leukemia, or neutropenia.
- Pathogenesis: Fungi (e.g., Mucor, Rhizopus) thrive in high glucose and ketone states. Key virulence factor: ketone reductase.
- Presentation: Rapidly progressive rhinocerebral infection. Look for fever, headache, and a characteristic black necrotic eschar on the palate or nasal turbinates.
- Microscopy: Broad, ribbon-like, non-septate hyphae with right-angle (90°) branching.
- Treatment: Aggressive surgical debridement and Amphotericin B.
⭐ The fungus invades blood vessels (angioinvasion), causing thrombosis and tissue necrosis, which results in the classic black eschar.

Diagnostics & Therapeutics - The Fungal Hit‑List
- Aspergillus fumigatus
- Dx: Galactomannan assay, β-D-glucan. Biopsy shows septate hyphae with acute (45°) angle branching.
- Tx: Voriconazole, isavuconazole. Amphotericin B for severe/refractory cases.
- Candida albicans
- Dx: Blood culture, β-D-glucan. Germ tube test positive at 37°C.
- Tx: Fluconazole (or other azoles). Echinocandins (e.g., caspofungin) for severe/resistant strains. Amphotericin B for life-threatening infections.
- Cryptococcus neoformans
- Dx: CSF analysis with India ink stain (halos), cryptococcal antigen (CrAg) test.
- Tx: Amphotericin B + flucytosine (induction), followed by fluconazole (consolidation/maintenance).
- Pneumocystis jirovecii (PJP)
- Dx: Bronchoalveolar lavage (BAL) with silver stain or fluorescent antibody staining.
- Tx: Trimethoprim-sulfamethoxazole (TMP-SMX).
⭐ The India ink stain for Cryptococcus neoformans reveals characteristic encapsulated yeast with clear halos, a classic finding for diagnosing cryptococcal meningitis.

High‑Yield Points - ⚡ Biggest Takeaways
- Candida albicans causes thrush in HIV and systemic infections in neutropenic patients.
- Aspergillus fumigatus is linked to ABPA, aspergillomas in lung cavities, and invasive disease in the immunocompromised.
- Cryptococcus neoformans causes meningitis in AIDS; detected by India ink stain or cryptococcal antigen.
- Mucormycosis (Mucor/Rhizopus) affects patients with DKA or leukemia, causing black necrotic facial eschar.
- Pneumocystis jirovecii (PJP) causes diffuse pneumonia in AIDS patients with CD4 < 200.
Unlock the full lesson and continue reading
Signup to continue reading this lesson and unlimited access questions, flashcards, AI notes, and more