Aspergillus ID - Fungus Among Us
- Morphology: Mold with septate hyphae.
- Acute-angle (45°) V-shaped branching.
- Not dimorphic (exists only as a mold).
- Reproduction: Asexual conidiospores on a conidiophore structure.

⭐ Aspergillus is often confused with Mucor, but Mucor has non-septate hyphae and branches at 90° angles.
Pathogenesis - A Spore Story
- Inhalation: Spores (conidia) are ubiquitous in the environment (air, soil, decaying matter) and are inhaled into the lungs.
- Virulence Factors:
- Catalase: Neutralizes oxidative burst from phagocytes, allowing survival.
- Aflatoxin: Produced by A. flavus, it is a potent hepatotoxin and carcinogen linked to hepatocellular carcinoma.
⭐ In immunocompromised patients, hyphae can invade blood vessels (angioinvasion), leading to thrombosis, infarction, and distant dissemination.
Clinical Syndromes - The Fungal Frontier
Aspergillus causes a spectrum of disease based on host immunity, from allergic reactions to direct invasion.
| Syndrome | Patient Profile | Pathophysiology & Key Features |
|---|---|---|
| Allergic Bronchopulmonary Aspergillosis (ABPA) | Asthma, Cystic Fibrosis | Type I/IV Hypersensitivity. Wheezing, migratory pulmonary infiltrates, central bronchiectasis. ↑IgE, ↑eosinophils. |
| Aspergilloma | Pre-existing lung cavity (TB, sarcoidosis) | Fungus ball (mycetoma) in cavity. Often asymptomatic; may cause hemoptysis. X-ray shows a mass that shifts with position. |
| Invasive Aspergillosis | Immunocompromised (neutropenia, steroids) | Vascular invasion & tissue necrosis. Fever, pleuritic pain, hemoptysis. Triad: fever, pleuritic pain, hemoptysis. |
⭐ Angioinvasion is the hallmark of invasive aspergillosis. Look for the halo sign (ground-glass opacity surrounding a nodule) on CT as an early sign of hemorrhage.
Diagnosis - Spotting the Spores
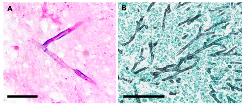
- Microscopy: Biopsy reveals septate hyphae with acute (45°) angle branching.
- Stains: Gomori methenamine-silver (GMS) is classic.
- Culture: Grows on Sabouraud agar; forms characteristic conidiophores.
- Serology: Detects cell wall components.
- Galactomannan assay (antigen)
- Beta-D-glucan assay (non-specific)
- Imaging: Chest X-ray or CT may show:
- Aspergilloma: A "fungus ball" in a pre-existing lung cavity.
- Allergic Bronchopulmonary Aspergillosis (ABPA): Eosinophilia, ↑IgE.
- Invasive Aspergillosis: Halo sign or air-crescent sign.
⭐ In tissue, Aspergillus is identified by its septate hyphae that branch at a 45° acute angle, distinguishing it from Mucor species (non-septate, 90° branching).

Treatment - Fighting the Fungus
Treatment strategy is tailored to the specific clinical syndrome. For ABPA, the goal is to control the underlying hypersensitivity reaction, whereas invasive disease requires aggressive systemic antifungal therapy to eradicate the pathogen.
| Condition | Primary Treatment | Key Considerations |
|---|---|---|
| Allergic Bronchopulmonary Aspergillosis (ABPA) | Systemic Corticosteroids | Long-term oral prednisone is the mainstay. Itraconazole may be added as a steroid-sparing agent. |
| Aspergilloma (Fungus Ball) | Surgical Resection | Reserved for patients with significant symptoms like massive hemoptysis. Observation is appropriate for asymptomatic cases. |
| Invasive Aspergillosis | Voriconazole | Drug of choice. Alternatives include isavuconazole or lipid formulations of Amphotericin B. |
High-Yield Points - ⚡ Biggest Takeaways
- Aspergillus fumigatus is a mold with septate hyphae that branch at acute, 45° angles.
- Allergic Bronchopulmonary Aspergillosis (ABPA) is a hypersensitivity reaction in asthma/CF patients, with high IgE.
- Aspergillomas are "fungus balls" that colonize pre-existing lung cavities (e.g., from TB).
- Invasive aspergillosis affects the immunocompromised (especially neutropenic), showing angioinvasion and halo sign on CT.
- Produces aflatoxins, which are highly hepatocarcinogenic.
- Key diagnostic clue: positive galactomannan antigen test.
Unlock the full lesson and continue reading
Signup to continue reading this lesson and unlimited access questions, flashcards, AI notes, and more