HHV-8 Virology - The Purple Cancer Virus
- Family: Herpesviridae (Gammaherpesvirinae subfamily).
- Structure: Enveloped, icosahedral capsid with a linear double-stranded DNA (dsDNA) genome.
- Cell Tropism: Primarily targets B lymphocytes and vascular endothelial cells.
- Latency: Establishes lifelong latency, primarily in B cells. The Latency-Associated Nuclear Antigen (LANA) tethers the viral episome to host chromosomes, ensuring its persistence during cell division.
⭐ HHV-8 encodes viral homologs of host regulatory proteins (e.g., v-cyclin, v-BCL-2, v-IL-6) that promote uncontrolled cell proliferation and angiogenesis while evading apoptosis.

Pathogenesis - Angiogenic Hijacker
- Primary Targets: Infects B-lymphocytes, but pathogenesis is driven by infection of vascular & lymphatic endothelial cells.
- Molecular Piracy: Establishes latency & expresses viral proteins that mimic host molecules to drive cell growth & survival:
- v-Cyclin: Pushes cell cycle forward (G1→S).
- v-IL-6: Pro-inflammatory & pro-growth cytokine.
- v-BCL-2: Anti-apoptotic.
- Angiogenesis: Secretes viral Growth Factors (vGF) that are homologs of VEGF, directly stimulating neovascularization.
⭐ vGPCR: A viral G-protein coupled receptor is constitutively active, a key driver of VEGF secretion & proliferation.
Kaposi Sarcoma - The Classic Lesion

- Progression: Begins as flat, painless patches → evolves into raised plaques & nodules.
- Appearance: Violaceous, purple, brown, or black lesions.
- Often elliptical and may align with skin tension lines.
- Common Sites:
- Lower extremities (classic type).
- Face, oral cavity (hard palate), genitalia (AIDS-related).
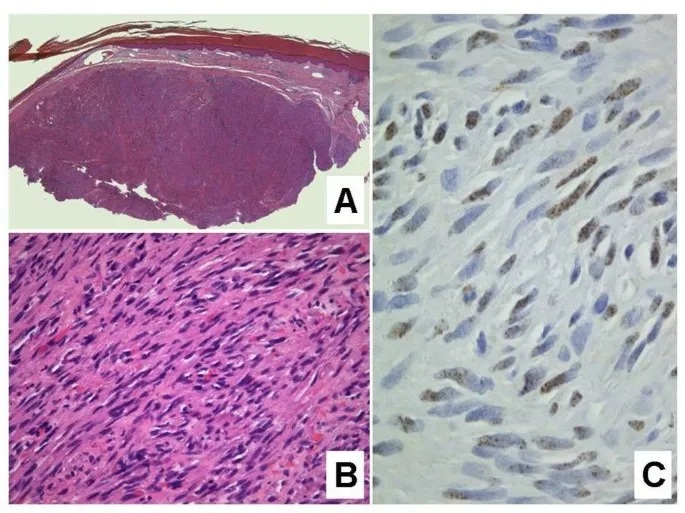
- Histopathology:
- Spindle cell proliferation (endothelial origin).
- Neovascularization & slit-like vascular spaces with extravasated RBCs.
⭐ High-Yield: Lesions are often multifocal and can arise in different places simultaneously, rather than metastasizing in the traditional sense.
Associated Malignancies - Beyond the Skin
-
Primary Effusion Lymphoma (PEL)
- Rare, aggressive B-cell lymphoma lining body cavities.
- Presents as malignant effusions (pleural, peritoneal, pericardial) without a solid tumor mass.
- Strongly associated with immunosuppression (e.g., AIDS).
- Often co-infected with Epstein-Barr Virus (EBV).
-
Multicentric Castleman Disease (MCD)
- A systemic lymphoproliferative disorder.
- Driven by viral cytokine dysregulation, particularly viral IL-6 (vIL-6).
- Symptoms: fever, weight loss, lymphadenopathy, splenomegaly.
⭐ High-Yield: Primary Effusion Lymphoma cells are typically CD45-positive, but negative for conventional B-cell markers like CD19 and CD20.

Diagnosis & Management - Detect & Defeat
-
Diagnosis (Gold Standard):
- Punch biopsy of a lesion.
- Histology: Proliferating spindle cells, neovascularization, and red blood cell extravasation.
- PCR for HHV-8 DNA in tissue confirms diagnosis.
-
Management Strategy:
- Treatment is tailored to the clinical subtype.
⭐ In AIDS-related KS, initiating HAART is the most crucial management step. Lesion regression often occurs as the CD4 count rises, sometimes without needing chemotherapy.

High‑Yield Points - ⚡ Biggest Takeaways
- HHV-8 is strongly associated with Kaposi sarcoma, a vascular tumor common in AIDS patients.
- Transmission occurs primarily through saliva and sexual contact.
- The virus infects endothelial cells, inducing angiogenesis and proliferation of spindle cells.
- Presents as painless, purplish nodules or plaques on the skin, oral mucosa, and viscera.
- Also linked to primary effusion lymphoma and multicentric Castleman disease.
- Diagnosis is confirmed by biopsy showing spindle cells and neovascularization.
Unlock the full lesson and continue reading
Signup to continue reading this lesson and unlimited access questions, flashcards, AI notes, and more