VGS - Green Meanies of the Mouth
- Gram-positive cocci, catalase (-), α-hemolytic (green), optochin-resistant.
- Normal flora of the oropharynx (hence, "green meanies of the mouth").
- Pathogenesis: Adhere to damaged heart valves (subacute bacterial endocarditis - SBE) or teeth using dextrans synthesized from sucrose.
- S. sanguinis: Blood (most common cause of SBE).
- S. mutans: Mutates teeth (dental caries).
- S. mitis: Mouth.
⭐ High-Yield: VGS are the most common cause of subacute bacterial endocarditis (SBE), classically seeding damaged or prosthetic valves after dental procedures.
Pathogenesis - Masters of Biofilm
- Primary Virulence Factor: Biofilm formation.
- Mechanism:
- Synthesize extracellular dextrans (polysaccharides) from sucrose using the enzyme glucosyltransferase.
- Dextrans act as a glue, facilitating adherence to surfaces.
- Key Adherence Sites:
- Dental Enamel: Dextrans bind to teeth, initiating dental plaque (S. mutans, S. mitis).
- Damaged Heart Valves: Adhere to pre-existing fibrin-platelet aggregates (S. sanguinis).
- Result:
- Forms vegetations (biofilms) that are resistant to antibiotics and host immune cells.
⭐ High-Yield: The ability to synthesize dextrans from dietary sucrose is the crucial step allowing Viridans streptococci to colonize sterile vegetations on previously damaged heart valves, leading to Subacute Bacterial Endocarditis (SBE).
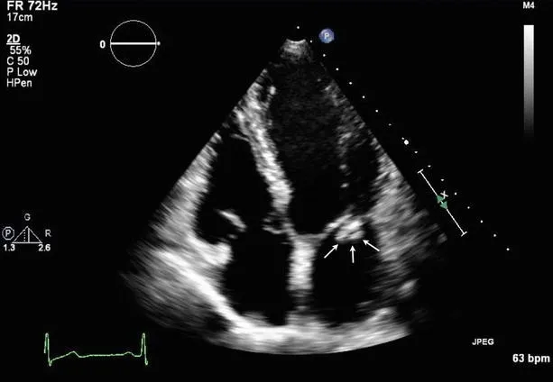
Endocarditis - Slow Siege on the Valves
- Pathogenesis: Classic cause of Subacute Bacterial Endocarditis (SBE), especially on previously damaged valves (e.g., rheumatic fever, MVP).

- Clinical Signs: Insidious onset with low-grade fever, fatigue, weight loss, and a new or changing heart murmur.
- Peripheral Stigmata (from emboli/immune complexes):
- Splinter hemorrhages
- Janeway lesions (painless)
- Osler nodes (painful)
- Roth spots
⭐ Streptococcus sanguinis (blood) is a key species. Bacteremia from dental procedures is a classic route of entry, seeding damaged heart valves. Prophylaxis for high-risk patients is crucial.
Caries & Abscesses - Drillers and Fillers

-
Dental Caries (Drillers): Primarily S. mutans & S. sobrinus.
- Use sucrose to create sticky dextran polymers, facilitating adherence to enamel (biofilm/plaque).
- Ferment sugars into lactic acid, which directly demineralizes tooth structure, causing cavities.
-
Abscess Formation (Fillers): S. anginosus group (S. anginosus, S. intermedius, S. constellatus).
- Known for pyogenic potential, commonly causing dental, brain, and liver abscesses.
⭐ The S. anginosus group's ability to form abscesses is a key distinguishing feature within the viridans streptococci.
Dx & Tx - Identify and Eradicate
- Diagnosis:
- Blood cultures: α-hemolytic, catalase-negative, optochin-resistant.
- Echocardiogram (TTE/TEE) to detect vegetations on heart valves.
- Treatment:
- Most isolates are highly susceptible to penicillin.
- Standard: Penicillin G or ceftriaxone.
- Endocarditis: Penicillin G/ceftriaxone + Gentamicin for synergy.
- Prophylaxis for high-risk cardiac patients undergoing dental procedures (amoxicillin).
⭐ S. sanguinis is the most common cause of Viridans group subacute bacterial endocarditis (SBE).

- Normal flora of the oropharynx; they are α-hemolytic.
- Optochin-resistant and bile-insoluble, distinguishing them from S. pneumoniae.
- S. mutans is a primary cause of dental caries.
- S. sanguinis is a leading cause of subacute bacterial endocarditis (SBE), especially on damaged heart valves.
- Produce dextrans from sucrose, which aids adherence to fibrin-platelet aggregates on valves.
- The S. intermedius group is linked to abscess formation (e.g., brain, liver).
Unlock the full lesson and continue reading
Signup to continue reading this lesson and unlimited access questions, flashcards, AI notes, and more