Bacillus Basics - Spore-forming Rods
- Gram-positive rods, often in chains.
- Aerobic and catalase-positive.
- Spore-forming: Highly resilient spores allow survival in harsh conditions (heat, desiccation). Ubiquitous in soil.
- Key species:
- B. anthracis (anthrax)
- B. cereus (food poisoning)
⭐ The capsule of B. anthracis is unique, made of poly-D-glutamate protein, protecting it from phagocytosis.

B. anthracis - The Anthrax Agent
-
Microbiology: Gram ⊕, spore-forming rod in chains ("boxcar" appearance). Aerobic, non-motile. Unique polypeptide capsule (poly-D-glutamic acid).
-
Virulence Factors:
- Anthrax Toxin (Exotoxin): Composed of three proteins.
- Protective Antigen (PA): Mediates entry of other factors.
- Edema Factor (EF): Adenylate cyclase → ↑cAMP → massive edema.
- Lethal Factor (LF): Zinc metalloprotease → cleaves MAP kinase → necrosis & apoptosis.
- Anthrax Toxin (Exotoxin): Composed of three proteins.
-
Clinical Manifestations:
- Cutaneous (most common): Painless papule → ulcer with a central black eschar.
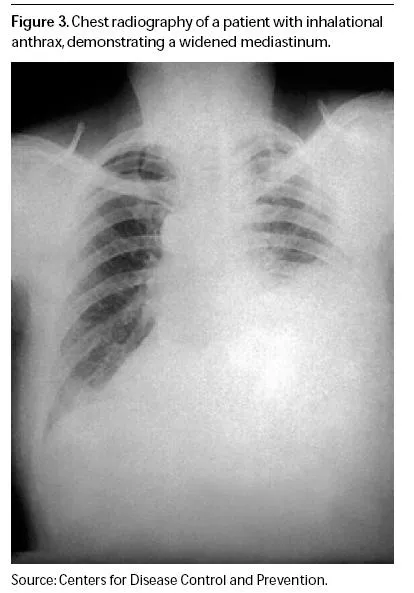
- Inhalational/Pulmonary: Spores inhaled → hemorrhagic mediastinitis. Often fatal.
⭐ A widened mediastinum on chest X-ray is a classic finding in inhalational anthrax.
- Treatment: Ciprofloxacin or Doxycycline.
B. cereus - Fried Rice Fiend
- Pathogen: Aerobic, motile, spore-forming, Gram-positive rod.
- Source: Ubiquitous in soil; contaminates food.
- Toxin-Mediated Illness (2 types):
- Emetic (vomiting): Preformed, heat-stable toxin (Cereulide).
- Vehicle: Reheated fried rice (classic). 📌 Mnemonic: "Be serious! Reheating rice is vomit-inducing!"
- Onset: Rapid (1-6 hrs).
- Diarrheal: Heat-labile enterotoxin produced in vivo.
- Vehicle: Meats, vegetables, sauces.
- Onset: Slower (8-16 hrs).
- Emetic (vomiting): Preformed, heat-stable toxin (Cereulide).
⭐ High-Yield: The emetic toxin is pre-formed and heat-stable. Reheating contaminated rice will kill the B. cereus bacteria but will NOT inactivate the toxin, leading to rapid-onset illness.
Lab & Rx - Identifying & Treating
-
Lab ID:
- Large, Gram-positive rods in chains; spore-forming (aerobic).
- B. anthracis: Non-hemolytic, "medusa head" colonies on blood agar.
- B. cereus: β-hemolytic on blood agar.
-
Treatment (Rx):
- Anthrax (B. anthracis):
- Cutaneous: Ciprofloxacin or Doxycycline.
- Inhalational/Systemic: Ciprofloxacin + Clindamycin. Consider Raxibacumab (antitoxin).
- Food Poisoning (B. cereus):
- Supportive care. Vancomycin for severe non-GI infections.
- Anthrax (B. anthracis):
⭐ High-Yield: The capsule of B. anthracis is uniquely composed of a polypeptide (poly-D-glutamic acid), unlike the polysaccharide capsules of most other bacteria.
High‑Yield Points - ⚡ Biggest Takeaways
- Bacillus anthracis causes anthrax via its unique poly-D-glutamate capsule and anthrax toxin.
- Cutaneous anthrax presents with a painless black eschar; pulmonary anthrax shows a widened mediastinum on chest X-ray.
- Bacillus cereus is a common cause of food poisoning, classically from reheated rice (emetic toxin).
- Both are large, Gram-positive, spore-forming rods that grow in aerobic conditions.
- Spores are highly resilient and central to transmission.
Unlock the full lesson and continue reading
Signup to continue reading this lesson and unlimited access questions, flashcards, AI notes, and more