Dimorphic Fungi - Two-Faced Fungi
- Thermal Dimorphism: Fungi that exist in two distinct forms based on temperature. This dual nature is a hallmark of several pathogenic fungi.
- Mold (Mycelial) Form: Found in the environment at 25-30°C. Characterized by filamentous hyphae forming a mycelium.
- Yeast Form: Found in host tissues at 37°C. Unicellular, budding form.
- Infectious Particles: Spores from the mold form are inhaled, leading to infection.
- 📌 Mnemonic: Mold in the Cold, Yeast in the Heat (Beast).

⭐ The ability to transition to a yeast form at body temperature is a key virulence factor for dimorphic fungi.
The Usual Suspects - Geographic Fingerprints
| Organism | Endemic Region | Clinical Findings | Microscopic Appearance (Yeast form) |
|---|---|---|---|
| Histoplasma | Ohio & Mississippi River valleys | Pneumonia, hepatosplenomegaly | Small, oval yeast within macrophages. 📌 Histo Hides. |
| Blastomyces | Eastern/Central US, Great Lakes | Pneumonia, skin/bone lesions | Large yeast with single broad-based bud. 📌 Blasto Buds. |
| Coccidioides | Southwestern US, Mexico | "Valley fever" (flu-like), meningitis | Spherule packed with endospores. 📌 Cocci Crowds. |
| Paracoccidioides | Latin America | Cervical lymphadenopathy, mucocutaneous lesions | "Captain's wheel" appearance (multiple buds). |
| Sporothrix schenckii | Worldwide (rose thorns) | "Rose gardener's disease" (pustules along lymphatics) | Cigar-shaped yeast. |
Pathogenesis - Invasion & Evasion

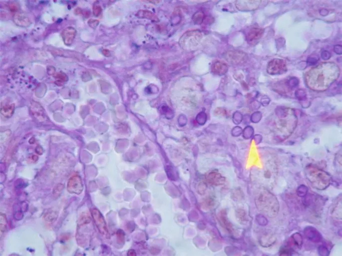
⭐ Histoplasma capsulatum is a facultative intracellular parasite that replicates within macrophages, often appearing as small oval yeasts within the cell's cytoplasm.
Lab Diagnosis - Unmasking the Culprit
- Culture: The gold standard for diagnosis.
- Grown on Sabouraud agar.
- Exhibits thermal dimorphism: mold at 25°C (cold), yeast at 37°C (hot).
- Microscopy & Stains:
- KOH preparation for rapid screening.
- Tissue biopsy with silver stains (GMS) or PAS to visualize yeast.
- Rapid Antigen/Antibody Tests:
- Urine/serum antigen tests for Histoplasma & Blastomyces.
- Serology to detect antibody responses.
⭐ Fungal cultures are the definitive diagnosis but take weeks to grow; therefore, rapid antigen tests (e.g., for Histoplasma) are often used for faster clinical decision-making.

High‑Yield Points - ⚡ Biggest Takeaways
- Dimorphic fungi exist as mold in the cold (environmental, 25-30°C) and yeast in the heat (pathogenic, 37°C).
- The yeast form is the invasive, parasitic form found in tissues during human infection.
- Infection is typically acquired by inhaling spores of the mycelial (mold) form.
- These fungi are a major cause of endemic systemic mycoses, often in specific geographic areas.
- Key pathogens include Histoplasma, Blastomyces, Coccidioides, and Sporothrix.
Unlock the full lesson and continue reading
Signup to continue reading this lesson and unlimited access questions, flashcards, AI notes, and more