Overview & Pathophysiology - Tiny Intracellular Terrors
- Organisms: Ehrlichia chaffeensis & Anaplasma phagocytophilum are obligate intracellular, gram-negative-like bacteria lacking peptidoglycan and LPS.
- Lifecycle: Transmitted by ticks, they invade host leukocytes, replicating within phagosomes to form characteristic mulberry-shaped aggregates called morulae.
- They prevent phagolysosome fusion, ensuring their survival.
- Cell lysis releases bacteria, spreading the infection.
- Cell Tropism: 📌 MEGA - Ehrlichia infects Monocytes; Anaplasma infects Granulocytes.
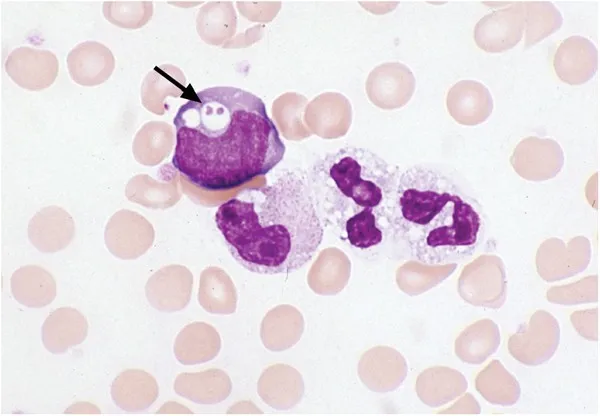
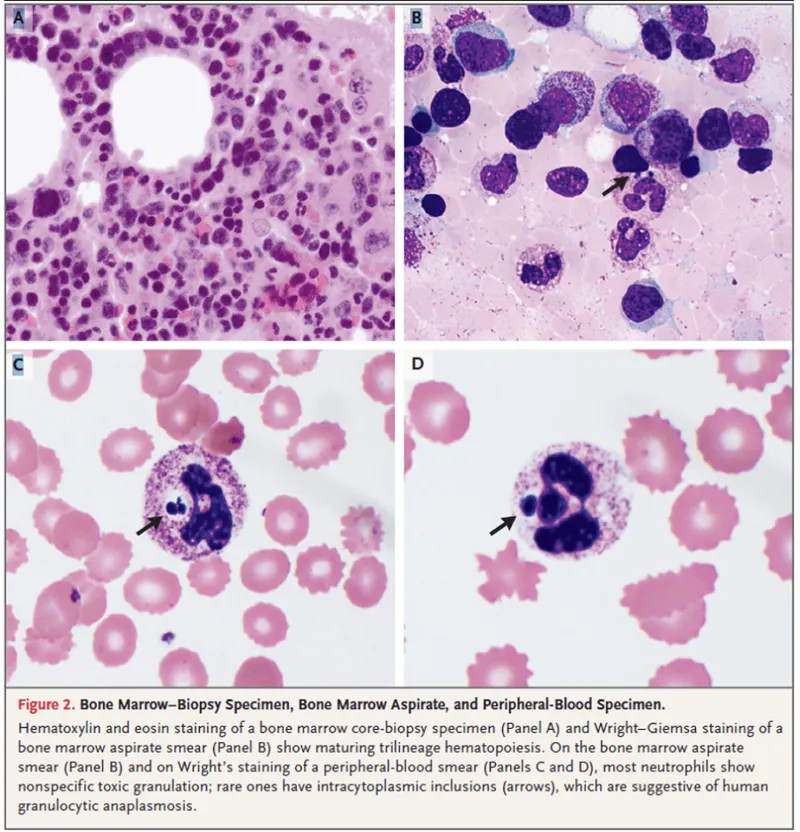
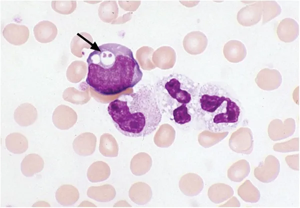
⭐ The presence of intracytoplasmic morulae in neutrophils (Anaplasma) or monocytes (Ehrlichia) on a peripheral blood smear is a key diagnostic clue.

Ehrlichia vs. Anaplasma - The Great Divide
| Feature | Ehrlichia chaffeensis | Anaplasma phagocytophilum |
|---|---|---|
| Disease | Ehrlichiosis | Anaplasmosis |
| Vector | Lone Star Tick (Amblyomma) | Deer Tick (Ixodes scapularis) |
| Geography | SE & South-central US | NE & Upper Midwest US |
| Cell Target | Monocytes | Granulocytes |
| Inclusions | Morulae (berry-like) | Morulae (berry-like) |
⭐ High-Yield: Anaplasma shares its Ixodes tick vector with Borrelia (Lyme disease) and Babesia, so be suspicious of co-infections.

Clinical & Lab Findings - Fever, Chills, Low Counts
- Acute Presentation: Abrupt onset of high fever, chills, headache, and myalgias.
- Rash is uncommon, but more frequent in Ehrlichiosis (~30%) vs. Anaplasmosis (<10%).
- Key Lab Abnormalities:
- ↓ Leukopenia (WBC < 4,500/mm³)
- ↓ Thrombocytopenia (Platelets < 150,000/mm³)
- ↑ Elevated serum aminotransferases (ALT/AST)

⭐ High-Yield: Diagnosis is often confirmed by finding morulae (Latin for 'mulberry')-intracytoplasmic inclusions of organisms-within granulocytes (Anaplasma) or monocytes (Ehrlichia) on a peripheral blood smear.
Diagnosis & Management - Spot the Dot, Treat Right
- Labs: Pancytopenia (↓ platelets, ↓ WBCs), ↑ liver enzymes.
- Microscopy: Key finding is morulae (intracytoplasmic, mulberry-like inclusions).
- Ehrlichia chaffeensis: Monocytes
- Anaplasma phagocytophilum: Granulocytes
- Gold Standard: PCR for definitive diagnosis.
- Treatment: Empiric Doxycycline is first-line for all patients, including children. Do not delay therapy awaiting confirmation.
⭐ Intracytoplasmic morulae are highly specific but insensitive, seen in <10% of patients.

High‑Yield Points - ⚡ Biggest Takeaways
- Obligate intracellular bacteria transmitted by ticks (Ehrlichia: Lone Star tick; Anaplasma: Ixodes tick).
- Ehrlichia infects monocytes (HME), while Anaplasma infects granulocytes (HGA).
- Clinical presentation includes fever, headache, and malaise.
- Key lab findings: pancytopenia (leukopenia, thrombocytopenia) and elevated liver enzymes.
- Diagnosis is confirmed by seeing morulae (mulberry-like inclusions) in the cytoplasm of infected cells.
- Treatment for both is Doxycycline.
Unlock the full lesson and continue reading
Signup to continue reading this lesson and unlimited access questions, flashcards, AI notes, and more