Medium Vessel Vasculitis - The Middle Players
-
Polyarteritis Nodosa (PAN):
- Affects renal & visceral arteries; spares lungs.
- Strongly associated with Hepatitis B.
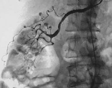
- Presents with fever, myalgia, abdominal pain; "rosary sign" on angiography (aneurysms).
-
Kawasaki Disease: (Children < 5 years)
- 📌 CRASH & Burn: Conjunctivitis, Rash, Adenopathy, Strawberry tongue, Hand-foot changes + Fever >5 days.
-
⭐ Most feared complication is coronary artery aneurysm.

-
Buerger's Disease (Thromboangiitis Obliterans):
- Segmental, thrombosing vasculitis in heavy smokers.
- Can lead to gangrene and autoamputation of digits.
Polyarteritis Nodosa (PAN) - Beads on a String
- Systemic necrotizing vasculitis of medium-sized muscular arteries leading to microaneurysm formation.
- Key association: Hepatitis B antigen-positive in ~30% of cases (immune complex deposition).
- Clinical Features:
- Constitutional: Fever, malaise, weight loss.
- Renal: Hypertension, renal ischemia (spares glomeruli).
- Neurologic: Mononeuritis multiplex (e.g., wrist/foot drop).
- Dermatologic: Livedo reticularis, tender erythematous nodules, ulcers.
- GI: Postprandial abdominal pain (mesenteric vasculitis).
- Diagnosis:
- Biopsy of affected tissue (e.g., skin, nerve) shows transmural inflammation.
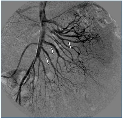
- Angiography reveals multiple aneurysms and stenoses.
- Typically ANCA-negative.

⭐ High-Yield: PAN characteristically spares the pulmonary arteries. The "beads on a string" appearance on renal or mesenteric angiography is a classic finding.
- Treatment: High-dose corticosteroids and cyclophosphamide.
Kawasaki Disease - CRASH and Burn
- Acute, necrotizing vasculitis of medium-sized vessels, primarily affecting young children (< 5 years).
- Presents with fever > 5 days (the "Burn") plus ≥4 of the CRASH criteria.
- 📌 CRASH Mnemonic:
- Conjunctivitis: Bilateral, non-exudative.
- Rash: Polymorphous (maculopapular, morbilliform).
- Adenopathy: Cervical, unilateral.
- Strawberry tongue & other mucosal changes (e.g., cracked, red lips).
- Hand & foot changes: Erythema, edema, desquamation.

⭐ High-Yield: The most feared complication is coronary artery aneurysm, which can lead to thrombosis or rupture. Echocardiography is essential for monitoring.
Diagnosis & Comparison - Tissue vs. Tubes
-
Tissue (Biopsy): Gold standard for Polyarteritis Nodosa (PAN).
- Shows segmental, transmural necrotizing inflammation with fibrinoid necrosis.
- Typically involves medium-sized muscular arteries; spares pulmonary circulation.
-
Tubes (Angiography/Imaging):
- PAN: Angiography reveals microaneurysms and stenoses in renal, mesenteric, or hepatic arteries ("rosary sign" or "beads-on-a-string"). A key alternative when biopsy is inaccessible.
- Kawasaki Disease: Diagnosis is clinical. Echocardiography is crucial to screen for and monitor coronary artery aneurysms.

⭐ PAN has a strong association with Hepatitis B infection (~10-30% of cases). Always test for HBsAg.
High‑Yield Points - ⚡ Biggest Takeaways
- Polyarteritis Nodosa (PAN) is a systemic necrotizing vasculitis of medium arteries that notably spares the lungs.
- PAN is strongly associated with Hepatitis B in about 30% of cases.
- Clinical clues for PAN include livedo reticularis, mononeuritis multiplex, and new-onset hypertension from renal artery involvement.
- Kawasaki Disease is a vasculitis in children <5 years old, presenting with CRASH and Burn (fever).
- The most feared complication of Kawasaki is coronary artery aneurysms.
Unlock the full lesson and continue reading
Signup to continue reading this lesson and unlimited access questions, flashcards, AI notes, and more