ILD Classification - The ILD Sorting Hat
-
Known Cause ILD:
- Connective tissue disease (e.g., RA, scleroderma)
- Drug-induced (e.g., Amiodarone, Bleomycin)
- Occupational (e.g., Asbestosis, Silicosis)
- Hypersensitivity Pneumonitis
-
Idiopathic Interstitial Pneumonias (IIPs):

⭐ Usual Interstitial Pneumonia (UIP) is the hallmark radiologic and pathologic pattern of IPF, defined by bibasilar, subpleural honeycombing and reticulation. It carries the worst prognosis among the IIPs.
Idiopathic Interstitial Pneumonias - Alphabet Soup Pneumonias
-
A group of diffuse parenchymal lung diseases of unknown cause, distinguished by specific histopathologic patterns.
-
Idiopathic Pulmonary Fibrosis (IPF)
- Most common type; worst prognosis (median survival 3-5 yrs).
- Histology: Usual Interstitial Pneumonia (UIP) pattern.
- CT: Bibasilar, peripheral reticulation with honeycombing.
-
Non-specific Interstitial Pneumonia (NSIP)
- Better prognosis than IPF; strongly associated with connective tissue disease.
- Histology: Temporally uniform inflammation or fibrosis.
-
Cryptogenic Organizing Pneumonia (COP)
- Formerly BOOP; excellent response to steroids.
- Histology: Masson bodies (granulation tissue plugs in alveoli).
-
Smoking-Related ILDs
- RB-ILD & DIP: Accumulation of "smoker's macrophages"; improve with smoking cessation.
⭐ The UIP pattern is the indispensable hallmark for diagnosing IPF, signifying irreversible patchy fibrosis and architectural distortion (honeycombing).

ILD of Known Cause - Connective Tissue Culprits
- Systemic Sclerosis (SSc): The most common CTD to cause ILD.
- Pattern: NSIP (Non-Specific Interstitial Pneumonia) is the classic finding.
- Associated with anti-Scl-70 antibodies.
- Rheumatoid Arthritis (RA):
- Pattern: UIP (Usual Interstitial Pneumonia) is the most common, mimicking IPF.
- Affects older males, smokers, with high rheumatoid factor (RF) titers.
- Polymyositis/Dermatomyositis (PM/DM):
- Patterns: Can be NSIP or Organizing Pneumonia (OP).
- Strongly associated with anti-Jo-1 antibody (Antisynthetase Syndrome).
- Sjögren's Syndrome & SLE:
- Sjögren's: LIP (Lymphocytic Interstitial Pneumonia) is characteristic.
- SLE: ILD is less common; presents with varied patterns.
⭐ While pleural disease is the most common overall pulmonary issue in RA, UIP is the most frequent ILD pattern and carries a poorer prognosis similar to IPF.

Granulomatous ILD - Lumpy, Bumpy Lungs
-
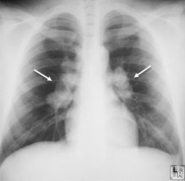
Sarcoidosis: Multisystem disease with non-caseating granulomas.
- Features: Bilateral hilar lymphadenopathy, ↑ serum ACE, hypercalcemia.
- BAL fluid: ↑ CD4/CD8 ratio (>3.5).
-
Hypersensitivity Pneumonitis (HP): Immune reaction to inhaled organic antigens (e.g., mold, avian proteins).
- "Farmer's lung," "Bird fancier's lung."
- Poorly formed non-caseating granulomas.
⭐ In contrast to sarcoidosis, HP typically shows a lymphocytic alveolitis with a decreased CD4/CD8 ratio (<1.0) in BAL fluid.
High-Yield Points - ⚡ Biggest Takeaways
- ILDs are broadly grouped by known causes (e.g., drugs, occupational) versus idiopathic interstitial pneumonias (IIPs).
- Idiopathic Pulmonary Fibrosis (IPF) is the most common IIP, defined by a UIP pattern on HRCT, and carries the worst prognosis.
- Connective tissue diseases (e.g., scleroderma, RA) are a major cause of secondary ILD.
- Smoking-related ILDs include respiratory bronchiolitis-ILD (RB-ILD) and desquamative interstitial pneumonia (DIP).
- Sarcoidosis is a key granulomatous ILD, classically presenting with bilateral hilar lymphadenopathy.
Unlock the full lesson and continue reading
Signup to continue reading this lesson and unlimited access questions, flashcards, AI notes, and more