Pathophysiology & Etiology - Vicious Cycle of Damage
- Core Mechanism: A self-perpetuating cycle of inflammation, infection, and airway injury.
- Primary Causes:
- Cystic Fibrosis: Most common cause in the US (~50% of cases).
- Post-Infectious: H. influenzae, Pseudomonas, NTM, Aspergillus, viral.
- Immune Defects: Allergic Bronchopulmonary Aspergillosis (ABPA), hypogammaglobulinemia.
- Congenital: Primary Ciliary Dyskinesia (e.g., Kartagener syndrome).
- Airway Obstruction: Tumor, foreign body.
⭐ In non-CF patients, infection is the most frequent underlying cause of bronchiectasis.

Clinical Features & Diagnosis - The Telltale Cough
-
Persistent, productive cough: The hallmark feature. Produces copious, purulent, often foul-smelling sputum daily for months to years.
-
Other common findings: Dyspnea, rhinosinusitis, fatigue, and intermittent, sometimes massive, hemoptysis. Digital clubbing may be seen in severe disease.
-
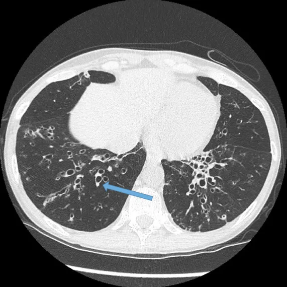
Diagnosis: High-resolution CT (HRCT) is the gold standard imaging test.
- Key HRCT signs: ↑ broncho-arterial ratio >1 ("signet ring" sign), and lack of airway tapering ("tram tracks").
-
Pulmonary Function Tests (PFTs): Typically show an irreversible obstructive pattern (↓ FEV1/FVC ratio <0.7).
⭐ Prognostic Pearl: Sputum cultures are crucial. Chronic colonization with Pseudomonas aeruginosa is associated with more frequent exacerbations, accelerated lung function decline (↓FEV1), and increased mortality.
Management - Clearing the Airways
- Goal: Break the vicious cycle of mucus stasis → infection → inflammation.
- Airway Clearance Therapy (ACT): Cornerstone of daily management.
- Perform 1-2 times daily; increase frequency during exacerbations.
- Methods: Chest physiotherapy (postural drainage, percussion), oscillating positive expiratory pressure (OPEP) devices, or high-frequency chest wall oscillation (HFCWO) vests.
- Pharmacologic Adjuncts:
- Bronchodilators (SABA): Administer before ACT to open airways.
- Mucoactive Agents: Inhaled hypertonic saline (3-7%) to thin mucus.
⭐ Routine inhaled corticosteroid use is NOT recommended without comorbid asthma/COPD, due to an increased risk of nontuberculous mycobacterial (NTM) infection.
High‑Yield Points - ⚡ Biggest Takeaways
- Bronchiectasis is an irreversible, permanent dilation of the bronchi, most commonly caused by cystic fibrosis in the US.
- Other key causes include allergic bronchopulmonary aspergillosis (ABPA) and Kartagener syndrome.
- Presents with a chronic cough producing large volumes of purulent, foul-smelling sputum; hemoptysis is frequent.
- High-resolution CT (HRCT) is the diagnostic gold standard, revealing "tram tracks" and the "signet ring" sign.
- Management focuses on airway clearance and treating underlying infections.
Unlock the full lesson and continue reading
Signup to continue reading this lesson and unlimited access questions, flashcards, AI notes, and more