Pathophysiology - The Sugar Siege
- Chronic hyperglycemia drives glomerular damage via two main pathways:
- Non-enzymatic Glycation: Glucose binds to proteins, forming Advanced Glycation End-products (AGEs).
- PKC Activation: Hyperglycemia activates the Protein Kinase C (PKC) pathway.
- These pathways trigger a cascade leading to structural and functional kidney changes.

⭐ The earliest detectable change in diabetic nephropathy is glomerular hyperfiltration, where the GFR is paradoxically increased.
Diagnosis & Staging - Finding the Leaks
- Annual Screening:
- Type 2 DM: Start at diagnosis.
- Type 1 DM: Start 5 years post-diagnosis.
- Primary Test: Urine Albumin-to-Creatinine Ratio (UACR) from a spot sample.
- Confirm with 2 positive tests over 3-6 months.
- Staging Albuminuria (UACR):
- A1 (Normal): < 30 mg/g
- A2 (Microalbuminuria): 30-300 mg/g
- A3 (Macroalbuminuria): > 300 mg/g
- Monitor eGFR: Track decline to stage CKD (G1-G5).

⭐ Diabetic retinopathy is strongly associated with nephropathy; its presence supports the diagnosis, while its absence in a proteinuric T1DM patient may suggest another cause.
Management - The Damage Control Plan
-
Primary Goals:
- Glycemic Control: Target HbA1c ~7%.
- BP Control: Target <130/80 mmHg.
- RAAS Blockade: For albuminuria (UACR >30 mg/g).
-
- Start ACE Inhibitor (-pril) or ARB (-sartan).
-
- ⚠️ Monitor for hyperkalemia.
-
-
Cardio-Renal Protection:
- SGLT-2 Inhibitors (-gliflozin): Standard of care for CKD with albuminuria. Reduces intraglomerular pressure.
- Finerenone: Non-steroidal MRA; reduces fibrosis and inflammation.
⭐ SGLT-2 inhibitors slow eGFR decline and reduce risk of cardiovascular events, benefits that are independent of their glucose-lowering effects.
High‑Yield Points - ⚡ Biggest Takeaways
- Diabetic nephropathy is the leading cause of end-stage renal disease (ESRD) in the United States.
- The earliest clinical sign is microalbuminuria; screen annually with a urine albumin-to-creatinine ratio (UACR).
- ACE inhibitors or ARBs are the first-line treatment to slow disease progression, even in normotensive patients.
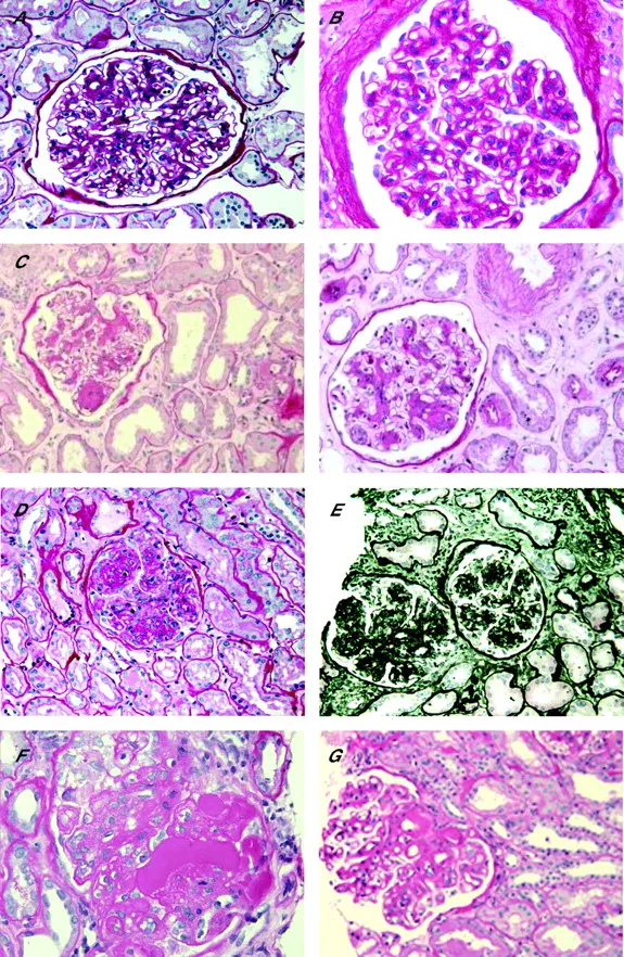
- Kimmelstiel-Wilson lesions (nodular glomerulosclerosis) are pathognomonic histological findings.
- Strict glycemic control (target HbA1c < 7%) and aggressive blood pressure control (< 130/80 mmHg) are paramount.
Unlock the full lesson and continue reading
Signup to continue reading this lesson and unlimited access questions, flashcards, AI notes, and more