Pathophysiology - Booze Blues
- Metabolic Driver: Chronic ethanol consumption overwhelms alcohol dehydrogenase (ADH), inducing the Microsomal Ethanol-Oxidizing System (MEOS).
- Toxic Metabolites: Both pathways produce acetaldehyde and reactive oxygen species (ROS), causing direct hepatocyte injury.
- Metabolic Mayhem: A sky-high NADH/NAD+ ratio results, which:
- Inhibits gluconeogenesis & fatty acid oxidation.
- Promotes ketogenesis & lipogenesis → steatosis (fatty liver).
- Inflammation: Gut-derived endotoxin (LPS) activates Kupffer cells (liver macrophages) to release pro-inflammatory cytokines like TNF-α, driving hepatitis.
⭐ The altered NADH/NAD+ ratio is a cornerstone of alcoholic liver disease, directly causing the hallmark findings of hypoglycemia, ketoacidosis, and hepatic steatosis.

Presentation & Diagnosis - The Liver's Cry
- Clinical Spectrum: Ranges from asymptomatic hepatomegaly to decompensated cirrhosis (jaundice, ascites, encephalopathy).
- Acute Alcoholic Hepatitis: Presents with fever, RUQ pain, tender hepatomegaly, and jaundice.
- Key Lab Markers:
- AST:ALT ratio > 2:1 is highly suggestive (both typically < 500 IU/L).
- ↑ GGT, ↑ Bilirubin, ↑ INR, ↑ MCV (macrocytosis).
- Prognosis in Hepatitis:
- Maddrey's Discriminant Function (MDF): A score > 32 indicates severe disease and high short-term mortality; consider corticosteroids.
⭐ The classic AST:ALT ratio > 2 is attributed to mitochondrial injury (rich in AST) and pyridoxal-5'-phosphate (vitamin B6) deficiency, which is a necessary cofactor for ALT synthesis.

Management & Prognosis - Damage Control
- Cornerstone: Complete abstinence from alcohol. Improves prognosis at all stages.
- Nutritional Support: Correct deficiencies, especially thiamine (to prevent Wernicke-Korsakoff syndrome) and folate. Provide adequate protein and calories.
- Pharmacotherapy for Severe Alcoholic Hepatitis (AH):
- Indicated if Maddrey's Discriminant Function (MDF) > 32 or MELD > 20.
- Prednisolone is the first-line treatment.
- Pentoxifylline is an alternative if steroids are contraindicated (e.g., active GI bleed, infection).
⭐ Lille Model: A score > 0.45 after 7 days of corticosteroids indicates non-response and is associated with a very high 6-month mortality. Steroids should be discontinued.
Prognostic Scores - Numbers Game
-
Maddrey's Discriminant Function (MDF)
- Formula: $4.6 \times (\text{prothrombin time} - \text{control time}) + \text{total bilirubin}$
- An MDF score > 32 indicates severe alcoholic hepatitis and a high short-term mortality rate. It is a key threshold for initiating corticosteroid therapy.
-
MELD Score (Model for End-Stage Liver Disease)
- Uses Bilirubin, INR, and Creatinine to predict 3-month mortality.
- Primarily used for prioritizing patients for liver transplantation.
-
Glasgow Alcoholic Hepatitis Score (GAHS)
- A score > 8 on day 1 predicts poor prognosis.
⭐ Lille Model: Assesses response to corticosteroids at day 7. A score > 0.45 signifies treatment failure and predicts a very high 6-month mortality, prompting cessation of steroids.
High‑Yield Points - ⚡ Biggest Takeaways
- AST:ALT ratio > 2:1 is a classic, though not universal, laboratory finding.
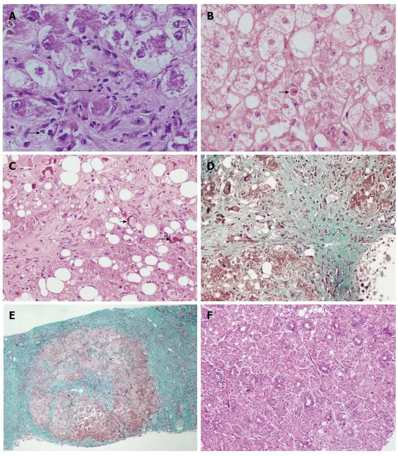
- Histology reveals Mallory-Denk bodies, ballooning degeneration, and perivenular fibrosis.
- The clinical spectrum progresses from hepatic steatosis (fatty liver) to alcoholic hepatitis, and finally to cirrhosis.
- Acetaldehyde, a toxic metabolite of alcohol, is central to pathogenesis.
- Complete abstinence from alcohol is the most critical intervention.
- For severe alcoholic hepatitis (Maddrey's score > 32), consider corticosteroids.
Unlock the full lesson and continue reading
Signup to continue reading this lesson and unlimited access questions, flashcards, AI notes, and more