Inflammatory bowel disease transforms the gut into a battlefield where the immune system attacks its own tissue, creating a chronic inflammatory cascade that extends far beyond the intestines. You'll master the molecular machinery driving Crohn's disease and ulcerative colitis, sharpen your diagnostic pattern recognition to distinguish IBD from clever mimics, and command the therapeutic algorithms that can induce remission and prevent devastating complications. This lesson builds your clinical judgment from pathophysiology through systemic manifestations, equipping you to recognize subtle presentations and deploy targeted treatments confidently.

IBD encompasses two primary entities with fundamentally different patterns of intestinal assault:
📌 Remember: CLOSEUP for UC features - Continuous, Limited to colon, Only mucosa/submucosa, Superficial ulcers, Epithelial damage, Uniform inflammation, Pseudopolyps
| Feature | Ulcerative Colitis | Crohn's Disease | Clinical Significance |
|---|---|---|---|
| Distribution | Continuous from rectum | Skip lesions, any GI location | UC: predictable surgical planning |
| Depth | Mucosa/submucosa only | Transmural involvement | CD: higher complication risk |
| Rectal Involvement | 100% of cases | 50% of cases | UC: always accessible by sigmoidoscopy |
| Granulomas | Rare (<5%) | Present in 60-70% | CD: pathognomonic when present |
| Smoking Effect | Protective (50% risk reduction) | Harmful (2x increased risk) | Opposite effects guide counseling |
IBD demonstrates striking epidemiological patterns that reveal important pathogenic clues:
💡 Master This: The "hygiene hypothesis" explains IBD's geographic pattern - reduced early-life microbial exposure in developed countries leads to altered immune system development and increased IBD susceptibility.

IBD genetics reveal the complex interplay between host susceptibility and environmental triggers:
⭐ Clinical Pearl: NOD2 mutations increase CD risk 3-fold in heterozygotes and 20-40 fold in homozygotes, with particular association with ileal disease and stricturing behavior.
The foundation of IBD pathogenesis rests on this genetic susceptibility framework, setting the stage for understanding how environmental triggers activate the inflammatory cascade that defines these chronic conditions.

IBD pathogenesis centers on the loss of immune tolerance to commensal bacteria, creating a state of chronic inflammation:
📌 Remember: CROHN'S cytokine profile - CD4+ Th1, Raised TNF-α, Overwhelming IFN-γ, High IL-17, NF-κB activation, Severe macrophage response
Intestinal barrier dysfunction represents both cause and consequence of IBD inflammation:
| Barrier Component | Normal Function | IBD Dysfunction | Clinical Impact |
|---|---|---|---|
| Tight Junctions | Selective permeability | 50-70% reduction in claudin-1 | Bacterial translocation |
| Mucus Layer | Bacterial exclusion | 80% reduction in MUC2 | Direct epithelial contact |
| Antimicrobial Peptides | Microbial control | 60% reduction in defensins | Dysbiosis development |
| IgA Secretion | Immune exclusion | 40% reduction in secretory IgA | Loss of tolerance |
| Epithelial Turnover | Rapid repair (3-5 days) | Delayed by 2-3x | Persistent ulceration |

The gut microbiome undergoes dramatic shifts in IBD, contributing to disease perpetuation:
💡 Master This: Butyrate deficiency in IBD creates a vicious cycle - reduced SCFA production impairs colonocyte energy metabolism, weakening barrier function and perpetuating inflammation.
Defective autophagy represents a key mechanism in IBD pathogenesis, particularly in Crohn's disease:
⭐ Clinical Pearl: ATG16L1 variants specifically impair clearance of adherent-invasive E. coli, explaining the increased bacterial burden in CD patients with these mutations.
This molecular machinery creates a self-perpetuating cycle where genetic susceptibility, environmental triggers, and immune dysfunction converge to establish chronic intestinal inflammation. Understanding these mechanisms provides the foundation for targeted therapeutic approaches that can interrupt specific pathways in the inflammatory cascade.
IBD presents with overlapping but distinct symptom patterns that guide initial diagnostic suspicion:
📌 Remember: PAIN distinguishes presentations - Perianal disease (CD), Abdominal pain predominant (CD), Intestinal bleeding prominent (UC), Non-bloody diarrhea typical (CD)
Laboratory findings provide crucial diagnostic clues and disease activity assessment:
| Laboratory Test | Ulcerative Colitis | Crohn's Disease | Diagnostic Significance |
|---|---|---|---|
| CRP Elevation | 50-60% of patients | 80-90% of patients | CD more inflammatory |
| ESR >30 mm/hr | 70% active disease | 85% active disease | Correlates with activity |
| Fecal Calprotectin | >250 μg/g in 90% | >250 μg/g in 95% | Excludes IBS effectively |
| Albumin <3.5 g/dL | 30% severe disease | 50% active disease | Malabsorption in CD |
| Iron Deficiency | 60-80% of patients | 40-60% of patients | Blood loss vs malabsorption |
Endoscopic findings provide definitive diagnostic information and guide treatment decisions:
💡 Master This: The "cobblestone" pattern in CD results from deep longitudinal ulcers intersecting with transverse ulcers, creating islands of edematous mucosa that resemble cobblestones.
Histological examination provides crucial diagnostic confirmation and subtype differentiation:
⭐ Clinical Pearl: Granulomas in IBD are non-caseating and found in 60-70% of CD cases, but their absence doesn't exclude the diagnosis. They're most commonly found in rectal biopsies even when rectum appears endoscopically normal.

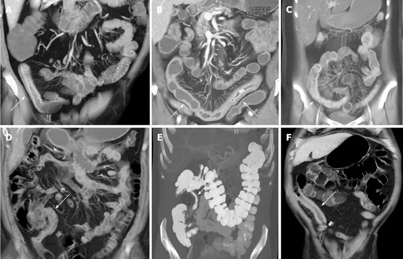
Cross-sectional imaging reveals transmural and extraintestinal disease features:
📌 Remember: COMB sign on CT - Comb-like mesenteric vessels, Obvious in active CD, Mesenteric fat stranding, Bowel wall thickening
This systematic approach to pattern recognition enables rapid, accurate IBD diagnosis while avoiding common diagnostic pitfalls. The integration of clinical, laboratory, endoscopic, and imaging patterns creates a comprehensive diagnostic framework that guides appropriate treatment initiation.
Infectious causes represent the most important IBD mimics, requiring systematic exclusion before IBD diagnosis:
| Pathogen | Key Features | Distinguishing Characteristics | Timeline |
|---|---|---|---|
| C. difficile | Pseudomembranous colitis | Antibiotic exposure in 80% | 2-8 weeks post-antibiotics |
| Salmonella | Bloody diarrhea, fever | Food exposure history | 1-3 days incubation |
| Shigella | Dysentery syndrome | Person-to-person spread | 1-3 days incubation |
| Campylobacter | Bloody diarrhea | Poultry exposure common | 2-5 days incubation |
| E. coli O157:H7 | Hemorrhagic colitis | HUS risk in 10% children | 1-8 days incubation |
| Cytomegalovirus | Ulcerative colitis-like | Immunocompromised patients | Weeks to months |
Drug-induced colitis can perfectly mimic IBD, requiring careful medication history review:
💡 Master This: NSAID-induced colitis characteristically affects the cecum and ascending colon, opposite to UC's typical left-sided distribution, and creates diaphragm-like strictures not seen in IBD.
Ischemic colitis predominantly affects older patients but can occur in younger individuals with risk factors:
⭐ Clinical Pearl: Ischemic colitis spares the rectum in 95% of cases due to dual blood supply (superior and middle hemorrhoidal arteries), while UC involves the rectum in 100% of cases.
Microscopic colitis presents with chronic diarrhea but normal endoscopic appearance:
| Feature | Microscopic Colitis | IBD | Clinical Significance |
|---|---|---|---|
| Endoscopic Appearance | Normal mucosa | Visible inflammation | Key distinguishing feature |
| Diarrhea Character | Watery, >400mL/day | Often bloody in UC | Volume and consistency differ |
| Histology | Specific patterns | Chronic inflammation | Diagnostic gold standard |
| Treatment Response | Budesonide 90% response | Variable IBD therapies | Therapeutic trial diagnostic |
| Malignancy Risk | No increased risk | 2-3x increased risk | Long-term implications |
Certain malignancies can present with IBD-like symptoms and endoscopic findings:
⭐ Clinical Pearl: New-onset IBD-like symptoms in patients >60 years should prompt aggressive evaluation for malignancy, as primary IBD diagnosis is uncommon in this age group (<10% of new diagnoses).
This systematic approach to differential diagnosis ensures accurate IBD identification while avoiding misdiagnosis of treatable conditions that mimic inflammatory bowel disease. The key lies in maintaining high clinical suspicion and systematically excluding alternative diagnoses through appropriate testing.
Contemporary IBD management targets multiple endpoints beyond symptom relief:
⭐ Clinical Pearl: Mucosal healing reduces hospitalization risk by 75% and surgery risk by 50% over 5 years, making it a crucial treatment target beyond symptom control.
UC treatment follows a systematic approach based on disease extent and severity:
| Disease Severity | First-Line Therapy | Second-Line Options | Biologic Indications |
|---|---|---|---|
| Mild Proctitis | Mesalamine suppositories 1g daily | Topical steroids | Refractory to conventional |
| Mild Left-sided | Mesalamine 2.4-4.8g daily + topical | Oral steroids 40mg | 2+ steroid courses/year |
| Moderate Extensive | Mesalamine 4.8g + prednisolone 40mg | Immunomodulators | Steroid-dependent |
| Severe Colitis | IV steroids 1mg/kg (max 80mg) | Rescue therapy (infliximab/cyclosporine) | Day 3 if no improvement |
| Fulminant | IV steroids + rescue therapy | Emergency colectomy | Immediate consideration |
CD management requires consideration of disease location, behavior, and complications:
💡 Master This: Combination therapy (anti-TNF + azathioprine) increases mucosal healing rates from 30% to 60% and reduces immunogenicity from 13% to 3%, but requires careful monitoring for lymphoma risk.

Choosing appropriate biologic therapy requires understanding mechanisms, efficacy, and safety profiles:
| Biologic Class | Mechanism | UC Efficacy | CD Efficacy | Key Advantages | Major Risks |
|---|---|---|---|---|---|
| Anti-TNF (Infliximab, Adalimumab) | TNF-α blockade | 60-70% response | 65-75% response | Rapid onset, fistula healing | Infection, lymphoma |
| Anti-Integrin (Vedolizumab) | Gut-selective adhesion | 50-60% response | 45-55% response | Gut-specific, low infection risk | Slower onset (12-16 weeks) |
| Anti-IL12/23 (Ustekinumab) | Cytokine blockade | 60% response | 55-65% response | Low immunogenicity | Limited long-term data |
| JAK Inhibitors (Tofacitinib) | Intracellular signaling | 65% response | Not approved | Oral administration | Thrombosis, infection |
| Anti-IL23 (Risankizumab) | IL-23p19 blockade | Under study | 70% response | High specificity | Limited experience |
Successful IBD management requires systematic monitoring and treatment optimization:
⭐ Clinical Pearl: Proactive therapeutic drug monitoring reduces treatment failure rates from 40% to 15% and decreases healthcare costs by $8,000-12,000 per patient annually through optimized dosing strategies.
This comprehensive treatment framework enables personalized IBD management that achieves deep remission while minimizing adverse effects. The key lies in early aggressive therapy, objective monitoring, and systematic treatment optimization based on measurable outcomes.
IBD creates specific patterns of bowel complications that differ between UC and CD:
📌 Remember: COMPLICATIONS of CD - Cancer risk, Obstruction from strictures, Malnutrition, Perianal disease, Liver involvement, Infection/abscesses, Colorectal cancer, Arthritis, Thromboembolism, Iron deficiency, Osteoporosis, Nephrolithiasis, Skin manifestations

EIMs occur in 25-40% of IBD patients and often parallel intestinal disease activity:
| System | Manifestation | IBD Association | Prevalence | Treatment Response |
|---|---|---|---|---|
| Musculoskeletal | Peripheral arthritis | Activity-related | 20-25% | Parallels gut inflammation |
| Musculoskeletal | Ankylosing spondylitis | Independent | 5-10% | Anti-TNF preferred |
| Dermatologic | Erythema nodosum | Activity-related | 10-15% | Improves with IBD treatment |
| Dermatologic | Pyoderma gangrenosum | Independent | 2-5% | Requires specific therapy |
| Ophthalmologic | Episcleritis | Activity-related | 5-10% | Topical steroids |
| Ophthalmologic | Uveitis | Independent | 2-5% | Urgent ophthalmology |
| Hepatobiliary | Primary sclerosing cholangitis | Independent | 5% (UC: 70%) | No proven therapy |
Arthritis represents the most common EIM, with distinct patterns requiring different management approaches:
💡 Master This: Peripheral arthritis Type 1 affects large joints, parallels gut inflammation, and improves with IBD treatment, while Type 2 affects small joints, runs independent course, and may require separate therapy.
Skin manifestations provide visible clues to IBD activity and complications:
⭐ Clinical Pearl: Pyoderma gangrenosum shows pathergy - minor trauma triggers new lesions. Avoid surgical debridement as it worsens the condition. Treatment requires systemic immunosuppression with steroids or anti-TNF therapy.
Liver involvement in IBD ranges from mild enzyme elevation to life-threatening complications:
IBD creates a 2-3 fold increased risk of venous thromboembolism through multiple mechanisms:
⭐ Clinical Pearl: Active IBD increases VTE risk 3-fold, and hospitalized IBD patients should receive prophylactic anticoagulation unless contraindicated by active bleeding.
This comprehensive understanding of IBD's systemic impact enables clinicians to anticipate, recognize, and manage the complex web of complications that extend far beyond the gastrointestinal tract, ultimately improving patient outcomes and quality of life.
Critical values that guide IBD diagnosis and management decisions:
📌 Remember: CRITICAL numbers - Calprotectin >250, Remission Mayo ≤1, Inflammation CRP >3, Toxic colon >6cm, Iron deficiency Hgb <10, CD activity SES-CD, Albumin severe <3.5, Lab monitoring q3 months
Immediate treatment selection based on disease severity and patient factors:
| Clinical Scenario | First-Line Treatment | Timeline | Monitoring |
|---|---|---|---|
| Mild UC proctitis | Mesalamine suppository 1g daily | 4-8 weeks | Symptoms, sigmoidoscopy |
| Moderate UC | Mesalamine 4.8g + prednisolone 40mg | 8-12 weeks | Weekly labs, taper steroids |
| Severe UC | IV methylprednisolone 1mg/kg | Day 3 assessment | Daily labs, rescue therapy |
| Mild-moderate CD | Budesonide 9mg daily | 8-12 weeks | Symptoms, CRP, calprotectin |
| Moderate-severe CD | Anti-TNF + azathioprine | 12-16 weeks | TDM, CBC, LFTs |
| Perianal CD | Anti-TNF + metronidazole | 16-24 weeks | MRI pelvis, examination |
Systematic approach to biologic therapy selection and optimization:
💡 Master This: Combination therapy (anti-TNF + immunomodulator) doubles mucosal healing rates and reduces immunogenicity by 75%, but requires careful lymphoma risk assessment in young males.
Critical presentations requiring immediate intervention:
⚠️ Warning: Never perform colonoscopy in suspected toxic megacolon - risk of perforation >50%. Use flexible sigmoidoscopy or CT for assessment.
Systematic surveillance protocols for optimal IBD management:
⭐ Clinical Pearl: Fecal calprotectin <150 μg/g predicts endoscopic remission with 85% accuracy, allowing non-invasive monitoring and reduced endoscopy frequency.
Critical indicators for surgical consultation and intervention:
This clinical arsenal provides the essential tools for mastering IBD diagnosis, treatment, and monitoring. Regular reference to these frameworks enables confident clinical decision-making and optimal patient outcomes in the complex landscape of inflammatory bowel disease management.
Sign up for free to access the full lesson, plus unlimited questions, flashcards, AI-powered notes, and more.
CONTINUE READING — FREEor get the app
Have doubts about this lesson?
Ask Rezzy, your AI Study Mate, to explain anything you didn't understand
Test your understanding with these related questions
A 63-year-old man comes to the physician with a 4-week history of fatigue, crampy abdominal pain, watery diarrhea, and pain in his mouth and gums. He returned from a 2-week trip to the Dominican Republic 2 months ago. He has smoked one pack of cigarettes daily for 45 years. Examination shows three 1.5-cm, painful ulcers in the mouth. Abdominal examination shows mild tenderness to palpation in the right lower quadrant without guarding or rebound. His hemoglobin concentration is 11.2 g/dL, mean corpuscular volume is 75 fL, and leukocyte count is 11,900/mm³. Colonoscopy shows a cobblestone mucosa. A photomicrograph of a biopsy specimen is shown. Which of the following is the most likely diagnosis?
