You'll master the complete clinical approach to Helicobacter pylori, the resilient bacterium colonizing half the world's stomachs and driving peptic ulcers, gastritis, and gastric cancer. We'll trace how this pathogen survives stomach acid, triggers inflammation, and manifests in diverse symptoms, then build your diagnostic strategy from noninvasive tests to endoscopic confirmation. You'll learn evidence-based eradication regimens, navigate antibiotic resistance patterns, and integrate long-term monitoring to prevent complications and recurrence in your patients.
📌 Remember: SPIRAL - Spiral shape, Produces urease, Increases gastrin, Reduces somatostatin, Ammonia production, Lives in mucus layer. This organism's unique adaptations enable survival in the acidic gastric environment with pH 1.5-3.5.
The bacterium's survival strategy involves sophisticated acid-resistance mechanisms. H. pylori produces urease enzyme at concentrations 100-fold higher than other bacteria, converting urea to ammonia and creating alkaline microenvironments with pH 6.0-7.0 around bacterial colonies.
⭐ Clinical Pearl: H. pylori infection increases gastric cancer risk by 2-6 fold, with intestinal-type adenocarcinoma showing strongest association. The bacterium is classified as a Class I carcinogen by WHO, responsible for 75% of gastric cancers worldwide.
| Virulence Factor | Prevalence | Clinical Association | Mechanism | Risk Increase |
|---|---|---|---|---|
| CagA protein | 60-70% | Gastric cancer | Cytotoxin injection | 2.8-fold |
| VacA toxin | 95% | Peptic ulcers | Vacuole formation | 1.9-fold |
| BabA adhesin | 70% | Severe gastritis | Epithelial binding | 2.1-fold |
| IceA1 allele | 45% | Duodenal ulcers | Inflammation | 1.6-fold |
| OipA protein | 80% | Corpus gastritis | Outer membrane | 1.4-fold |

Connect this foundational understanding through bacterial pathogenesis mechanisms to understand how H. pylori transforms gastric physiology and triggers clinical manifestations.
📌 Remember: DAMAGE - Direct cytotoxicity, Ammonia production, Molecular mimicry, Autoimmune responses, Gastrin elevation, Epithelial barrier disruption. These mechanisms explain the 10-15 year progression from initial infection to peptic ulcer development.
The bacterium's Type IV secretion system injects CagA protein directly into gastric epithelial cells, where it undergoes tyrosine phosphorylation and disrupts cellular signaling pathways. CagA-positive strains increase peptic ulcer risk by 280% and gastric cancer risk by 290% compared to CagA-negative strains.
⭐ Clinical Pearl: Duodenal ulcer patients typically maintain normal or elevated gastric acid output despite H. pylori infection, while gastric ulcer patients show significant acid suppression (<10 mEq/hour vs normal 15-25 mEq/hour). This explains the inverse relationship between duodenal and gastric ulcer development.
| Inflammatory Mediator | Normal Level | H. pylori Infection | Clinical Significance | Time Course |
|---|---|---|---|---|
| IL-1β | <5 pg/mL | 45-120 pg/mL | Acid suppression | 2-4 weeks |
| TNF-α | <10 pg/mL | 80-200 pg/mL | Epithelial damage | 1-2 weeks |
| IL-8 | <20 pg/mL | 150-400 pg/mL | Neutrophil recruitment | 24-48 hours |
| IFN-γ | <15 pg/mL | 60-180 pg/mL | Th1 response | 4-8 weeks |
| IL-10 | 5-15 pg/mL | 25-80 pg/mL | Immune suppression | 6-12 weeks |
💡 Master This: H. pylori infection creates a "point of no return" in gastric carcinogenesis called the Correa cascade: Normal mucosa → Chronic gastritis → Atrophic gastritis → Intestinal metaplasia → Dysplasia → Adenocarcinoma. Each step increases cancer risk exponentially, with dysplasia carrying 6% annual malignant transformation rate.
Connect these pathogenic mechanisms through clinical presentation patterns to understand how inflammatory responses manifest as recognizable symptom complexes and diagnostic findings.
📌 Remember: PYLORI - Pain (epigastric), Yearning for food relief, Late-night symptoms, Occult bleeding, Recurrent episodes, Iron deficiency. These features distinguish H. pylori gastritis from functional dyspepsia with 75% sensitivity and 60% specificity.

⭐ Clinical Pearl: "Test and treat" strategy is cost-effective in patients <60 years with dyspepsia and no alarm features. This approach has 85% positive predictive value in high-prevalence populations (>20% H. pylori prevalence) and reduces endoscopy needs by 60-70%.
| Clinical Presentation | H. pylori Positive | H. pylori Negative | Odds Ratio | Clinical Significance |
|---|---|---|---|---|
| Nocturnal pain | 75% | 35% | 5.6 | Strong predictor |
| Food relief | 68% | 28% | 5.4 | Duodenal ulcer pattern |
| Iron deficiency | 45% | 15% | 4.8 | Occult bleeding |
| Recurrent episodes | 82% | 40% | 6.9 | Chronic infection |
| Weight loss | 35% | 55% | 0.4 | More common without H. pylori |
💡 Master This: Alarm features requiring immediate endoscopy include: Age >60 years, unintentional weight loss (>5% body weight), dysphagia, odynophagia, persistent vomiting, GI bleeding, iron deficiency anemia, palpable mass, or family history of gastric cancer. These features have 95% negative predictive value for excluding malignancy when absent.
Connect these clinical patterns through diagnostic testing strategies to understand how symptom recognition guides appropriate test selection and interpretation.
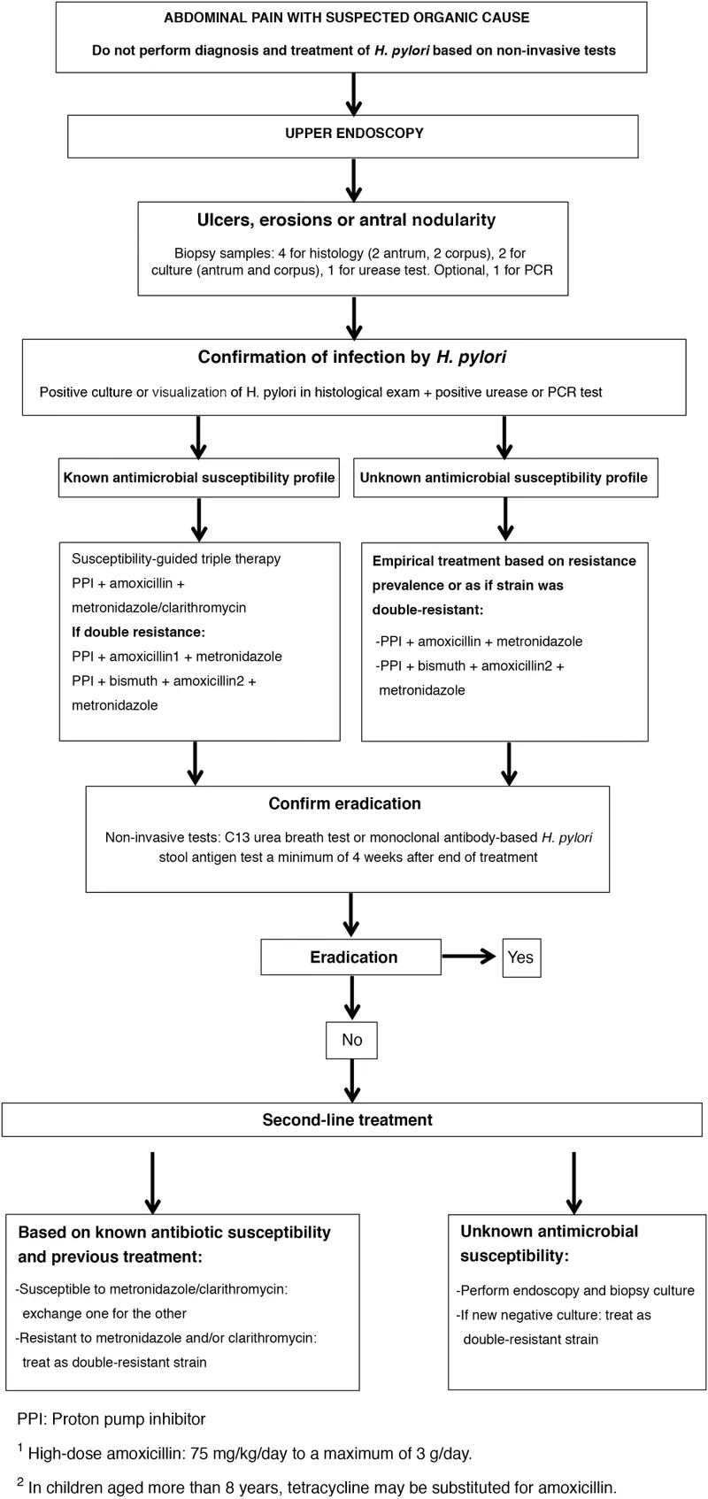
📌 Remember: TESTING - Timing matters (PPI washout), Endoscopy for complications, Stool antigen (active infection), Treatment affects results, Invasive vs non-invasive, Non-invasive preferred, Gold standard (histology + culture). Proper test selection prevents 15-20% false-negative rates that lead to treatment failure.

Medication interference represents the most common cause of false-negative results:
| Medication Class | Washout Period | False-Negative Risk | Mechanism | Alternative Test |
|---|---|---|---|---|
| PPIs | 2 weeks | 25-40% | Bacterial suppression | Extend washout |
| H2 blockers | 1 week | 10-15% | Acid suppression | Stool antigen |
| Antibiotics | 4 weeks | 30-50% | Bacterial killing | Delay testing |
| Bismuth | 4 weeks | 20-30% | Antimicrobial effect | Serology only |
| Sucralfate | 1 week | 5-10% | Mucosal coating | Any test |
Post-eradication testing protocols determine true cure rates and prevent antibiotic resistance development:
💡 Master This: "Test of cure" is mandatory after H. pylori eradication therapy because clinical symptom resolution does not correlate with bacterial clearance. Persistent infection occurs in 15-25% of patients despite symptom improvement, leading to antibiotic resistance and increased cancer risk if undetected.
Connect diagnostic precision through evidence-based treatment protocols to understand how accurate testing guides optimal antibiotic selection and resistance prevention strategies.
📌 Remember: TRIPLE - Two antibiotics required, Resistance surveillance guides choice, Increased duration (14 days), PPI essential component, Local patterns matter, Eradication confirmation mandatory. Bismuth quadruple therapy serves as universal first-line option when clarithromycin resistance exceeds 15%.

Regional resistance patterns dictate first-line therapy selection:
| Geographic Region | Clarithromycin Resistance | Metronidazole Resistance | Recommended First-Line | Eradication Rate |
|---|---|---|---|---|
| North America | 15-25% | 20-40% | Bismuth quadruple | 85-90% |
| Western Europe | 10-20% | 30-50% | Concomitant therapy | 88-92% |
| East Asia | 20-40% | 40-60% | Bismuth quadruple | 80-85% |
| Latin America | 5-15% | 60-80% | Standard triple | 85-90% |
| Africa | 10-30% | 70-90% | Bismuth quadruple | 75-85% |
💡 Master This: Proton pump inhibitor selection affects eradication rates through genetic polymorphisms in CYP2C19 metabolism. Rapid metabolizers (50-60% of population) may require higher PPI doses or twice-daily dosing to maintain gastric pH >4 for optimal antibiotic stability and bacterial killing.

Treatment monitoring and adverse effect management:
Connect treatment mastery through comprehensive management strategies to understand how eradication therapy integrates with long-term monitoring and complication prevention protocols.
📌 Remember: MONITOR - Malignancy surveillance, Optimize nutrition, Nutritional deficiencies, Iron status, Test family members, Ongoing symptoms, Reinfection prevention. Comprehensive care reduces gastric cancer mortality by 35-50% through early detection and risk factor modification.

Nutritional assessment and micronutrient optimization:
| Nutritional Parameter | Pre-Eradication | Post-Eradication | Recovery Time | Supplementation |
|---|---|---|---|---|
| Iron deficiency | 40-60% | 10-15% | 3-6 months | 325mg FeSO4 daily |
| Vitamin B12 | 15-25% | 5-10% | 6-12 months | 1000mcg monthly |
| Folate deficiency | 20-30% | 8-12% | 2-4 months | 400mcg daily |
| Vitamin C | 25-35% | 10-15% | 1-3 months | 500mg daily |
| Gastric acid output | ↓60-80% | ↑40-60% | 6-18 months | Monitor symptoms |
Long-term outcome monitoring and quality metrics:
💡 Master This: "Point of no return" in gastric carcinogenesis occurs with extensive intestinal metaplasia and dysplasia development. H. pylori eradication before this stage reduces cancer risk by 50-70%, but after dysplasia development, cancer risk remains elevated despite bacterial clearance, requiring intensive surveillance.
**Integration with gastroenterology practice and primary care coordination:
Connect comprehensive care through rapid clinical reference tools to understand how systematic H. pylori management integrates into efficient clinical practice workflows.
📌 Remember: MASTERY - Manage resistance patterns, Assess patient factors, Select optimal regimen, Time interventions properly, Evaluate eradication success, Recognize complications, Yield optimal outcomes. Clinical mastery transforms complex protocols into intuitive practice patterns.
| Clinical Scenario | First-Line Choice | Duration | Success Rate | Key Monitoring |
|---|---|---|---|---|
| Standard case | Bismuth quadruple | 14 days | 85-90% | Compliance, side effects |
| Penicillin allergy | Clarithromycin + metronidazole | 14 days | 80-85% | Resistance risk |
| Prior macrolide use | Levofloxacin triple | 14 days | 85-90% | QT prolongation |
| Treatment failure | Culture-guided | 14 days | 90-95% | Antibiotic sensitivity |
| Elderly patient | Bismuth quadruple | 10-14 days | 80-85% | Drug interactions |
Essential Clinical Numbers for immediate recall:
Diagnostic thresholds
Treatment benchmarks
💡 Master This: Clinical decision support integrates local resistance data, patient factors, and cost-effectiveness to optimize H. pylori management. Real-time resistance surveillance and treatment outcome tracking enable continuous quality improvement and population health optimization.

Practice integration and quality metrics:
This clinical command center transforms H. pylori management from complex protocols into streamlined clinical excellence, ensuring optimal patient outcomes through evidence-based precision and systematic quality improvement.
Sign up for free to access the full lesson, plus unlimited questions, flashcards, AI-powered notes, and more.
CONTINUE READING — FREEor get the app
Have doubts about this lesson?
Ask Rezzy, your AI Study Mate, to explain anything you didn't understand
Test your understanding with these related questions
A 54-year-old man presents to the clinic for epigastric discomfort during the previous month. He states he has not vomited, but reports of having epigastric pain that worsens after most meals. The patient states that his stool “looks black sometimes.” The patient does not report of any weight loss. He has a past medical history of gastroesophageal reflux disease, diabetes mellitus, peptic ulcer disease, and Crohn’s disease. The patient takes over-the-counter ranitidine, and holds prescriptions for metformin and infliximab. The blood pressure is 132/84 mm Hg, the heart rate is 64/min, the respiratory rate is 14/min, and the temperature is 37.3°C (99.1°F). On physical examination, the abdomen is tender to palpation in the epigastric region. Which of the following is the most appropriate next step to accurately determine the diagnosis of this patient?