Classification - The Tumor Lineup
- Secondary (Metastatic) > Primary
- Metastases are 20-40x more common.
- Sources: Melanoma, lung, breast, lymphoma.
- Primary Tumors (Benign > Malignant)
- Benign (~75%):
- Myxoma: Most common in adults (left atrium).
- Rhabdomyoma: Most common in children (tuberous sclerosis).
- Fibroma, Lipoma.
- Malignant (~25%):
- Angiosarcoma: Most common primary malignant.
- Benign (~75%):

⭐ Atrial myxomas can cause constitutional symptoms (fever, weight loss) via IL-6 production and a characteristic "tumor plop" on auscultation.
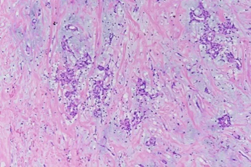
Atrial Myxoma - Jelly Ball Menace

- Epidemiology: Most common primary cardiac tumor in adults. Benign, but clinically malignant due to effects.
- Location: ~75% arise in the left atrium, often attached to the interatrial septum at the fossa ovalis.
- Pathology: Gelatinous, friable mass ("jelly ball") composed of myxoma cells in a myxoid stroma.
- Clinical Triad:
- Constitutional: Fever, weight loss, malaise (due to IL-6 production).
- Obstructive: Mimics mitral stenosis (dyspnea, syncope). Positional symptoms are common. Auscultation may reveal a diastolic "tumor plop."
- Embolic: Fragments can break off, causing systemic emboli (e.g., stroke) or pulmonary emboli if right-sided.
⭐ Association: Multiple myxomas, often in younger patients, are associated with Carney Complex (autosomal dominant syndrome: myxomas, spotty pigmentation, endocrine tumors).
Other Primary Tumors - Rogues' Gallery
-
Rhabdomyoma
- Most common primary cardiac tumor in children; often multiple.
- Associated with Tuberous Sclerosis (TSC).
- Typically found in the ventricles.
- Histology: Large, vacuolated "spider cells" containing glycogen.
- High rate of spontaneous regression.

-
Angiosarcoma
- Most common primary malignant cardiac tumor in adults.
- Arises from vascular endothelium.
- Usually originates in the right atrium.
- Presents with right-sided heart failure, hemorrhagic pericardial effusion.
- Poor prognosis due to early metastasis.
⭐ High-Yield: Over 50% of children with cardiac rhabdomyomas have Tuberous Sclerosis. Conversely, up to 80% of neonates with TSC will have a rhabdomyoma.
Metastatic Tumors - The Real Invaders
- 20-40x more common than primary cardiac tumors. The heart is rarely the first site of metastasis.
- Common Primaries: Lung & breast (direct extension), melanoma (hematogenous), lymphoma & leukemia (lymphatic/hematogenous).
- 📌 Mnemonic: My Lungs Bleed Leukemia (Melanoma, Lung, Breast, Leukemia/Lymphoma).
- Clinical Picture: Often asymptomatic. If symptomatic, usually due to pericardial involvement.
- Presents as pericardial effusion, tamponade, or constrictive pericarditis.
- Arrhythmias or heart block if myocardium is invaded.
⭐ Melanoma has the highest propensity for cardiac metastasis; up to 50% of patients with metastatic melanoma have cardiac involvement found at autopsy.

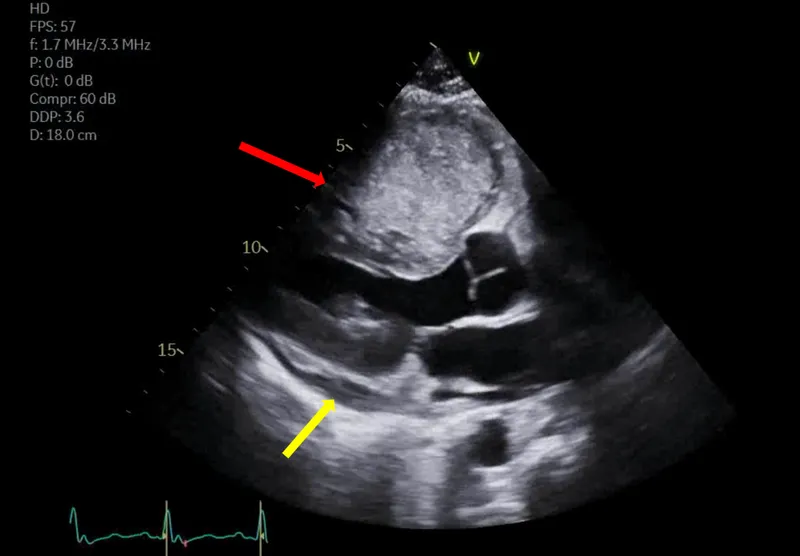
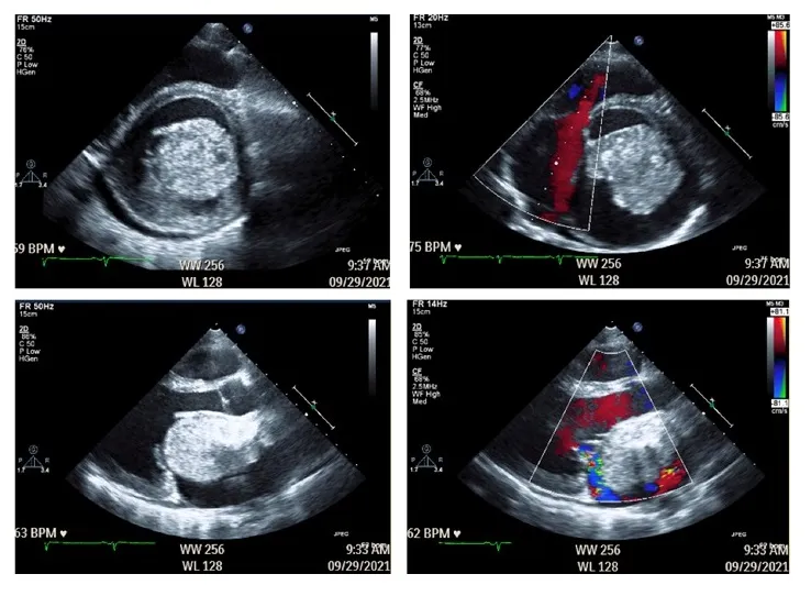
Diagnosis & Management - Find and Fix
- Diagnosis:
- Echocardiography (TTE/TEE) is the initial and primary diagnostic tool.
- Cardiac MRI/CT for superior tissue characterization and surgical planning.
- Biopsy is high-risk (embolization) and usually avoided pre-operatively.
- Management:
- Surgical resection is the definitive treatment for most primary tumors.
- Benign tumors (e.g., myxoma) are often curative post-resection.
- Malignant tumors may require adjuvant chemotherapy/radiation.

⭐ Myxomas can present with constitutional symptoms (fever, weight loss) and elevated inflammatory markers (↑ESR, ↑CRP), mimicking endocarditis or vasculitis.
High‑Yield Points - ⚡ Biggest Takeaways
- Metastatic tumors are far more common than primary ones, typically from lung, breast, or melanoma.
- Most common primary tumor in adults: atrial myxoma, usually in the left atrium.
- Myxomas present with constitutional symptoms, embolic events, or "ball-valve" obstruction.
- Most common in children: rhabdomyoma, strongly associated with tuberous sclerosis.
- Rhabdomyomas often regress spontaneously in children.
- The most common malignant primary tumor is angiosarcoma.
Unlock the full lesson and continue reading
Signup to continue reading this lesson and unlimited access questions, flashcards, AI notes, and more