Aortic Aneurysm - Ballooning Big Arteries
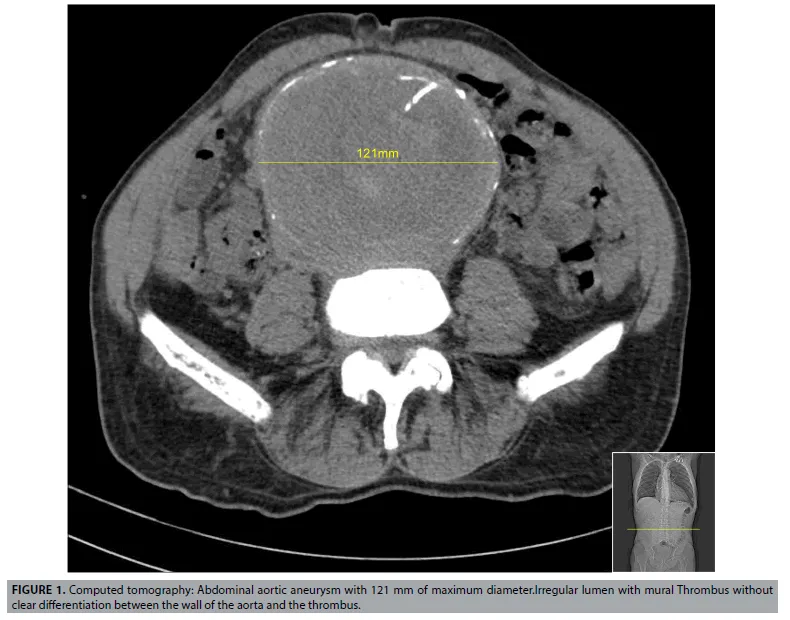
- Permanent, localized dilation of an artery (≥1.5x normal diameter). Most are abdominal aortic aneurysms (AAA).
- Risk Factors: Atherosclerosis is primary. 📌 SMASH: Smoking, Male, Age >60, family hiStory, Hypertension.
- Clinical: Mostly asymptomatic. Rupture triad: severe pain (back/abdominal), hypotension, pulsatile abdominal mass.
- Diagnosis: Ultrasound is best for screening/monitoring. CT with contrast for symptomatic patients or pre-op planning.

- Management:
- Surveillance (ultrasound) for asymptomatic AAAs < 5.5 cm.
- Elective repair (endovascular or open) if > 5.5 cm, rapid expansion (>0.5 cm in 6 mo), or symptomatic.
⭐ USPSTF Screening: One-time ultrasound for men aged 65-75 who have ever smoked.
Aortic Dissection - The Great Tear-Up
- Patho: Tear in aortic intima → blood tracks into media, creating a false lumen.
- Risk Factors: 📌 SOAP B - Syphilis, Old age, Atherosclerosis, Pregnancy/Polycystic kidney disease, Bicuspid aortic valve, Marfan/Ehlers-Danlos, Trauma, Cocaine.
- Presentation: Sudden, tearing/ripping chest pain radiating to the back. Asymmetric BPs (>20 mmHg difference) or pulses.
⭐ Pearl: A new diastolic murmur (aortic regurgitation) is a grave sign, often indicating Type A dissection involving the aortic valve.

Management
Aortitis & Acute Syndromes - Aorta's Angry Wall
- Aortitis: Inflammation of the aortic wall, often leading to aneurysm or stenosis.
- Causes:
- Large-Vessel Vasculitis: Giant Cell Arteritis (age >50), Takayasu Arteritis (age <50).
- Infectious: Syphilitic aortitis (obliterative endarteritis of vasa vasorum → "tree bark" intima), TB.
- Causes:
- Acute Aortic Syndromes (AAS): Life-threatening emergencies with similar presentations.
- Spectrum: Aortic Dissection (AD), Intramural Hematoma (IMH), Penetrating Atherosclerotic Ulcer (PAU).
- Classic Sx: Sudden, severe, "tearing" chest pain radiating to the back.
- Exam: Asymmetric BPs (>20 mmHg difference) or pulse deficits.
- Dx: CT Angiography is the primary imaging modality.
⭐ Chronic hypertension is the most significant risk factor for aortic dissection, present in over 75% of patients.

High-Yield Points - ⚡ Biggest Takeaways
- Aortic dissection presents with sudden, tearing chest pain radiating to the back.
- Stanford Type A dissections are a surgical emergency; Type B is often managed medically.
- Marfan and Ehlers-Danlos syndromes are key risk factors in younger patients.
- Abdominal Aortic Aneurysm (AAA) is often asymptomatic; look for a pulsatile abdominal mass.
- Screen for AAA in men 65-75 with a smoking history via ultrasound.
- Syphilitic aortitis causes a "tree-bark" appearance and can lead to aneurysms.
Unlock the full lesson and continue reading
Signup to continue reading this lesson and unlimited access questions, flashcards, AI notes, and more