Meiosis I - The Great Halvening
Reductive division ($2n, 4C \to 1n, 2C$) where homologous chromosomes separate, creating genetic diversity. The key event is genetic recombination (crossing over) in Prophase I.
- Prophase I Substages: 📌 Lefty Zacky Packs Dirty Diapers.
- Leptotene: Chromosomes condense.
- Zygotene: Synapsis of homologous chromosomes.
- Pachytene: Crossing over occurs.
- Diplotene: Chiasmata (sites of crossing over) become visible.
- Diakinesis: Nuclear envelope fragments.
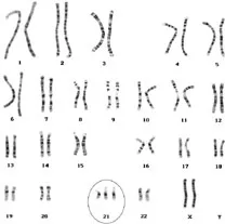
⭐ Failure of homologous chromosomes to separate in Anaphase I is called nondisjunction. This leads to aneuploid gametes (e.g., causing Trisomy 21).
Meiosis II - Mitosis's Mirror
- An equational division, separating sister chromatids; mirrors mitosis but starts with a haploid (n, 2C) cell.
- No new DNA synthesis occurs before Meiosis II.

- Phases:
- Prophase II: Nuclear envelope dissolves, spindle apparatus forms.
- Metaphase II: Chromosomes align along the metaphase plate.
- Anaphase II: Centromeres divide; sister chromatids separate and move to opposite poles.
- Telophase II: Nuclear envelope reforms, followed by cytokinesis.
⭐ The key event of Anaphase II is the separation of sister chromatids. This is distinct from Anaphase I, where homologous chromosomes separate.
Clinical Correlates - Nondisjunction Nightmares
- Nondisjunction: Failure of homologous chromosomes or sister chromatids to separate properly during meiosis I or II, leading to aneuploidy.
- Common Aneuploidies:
- Down Syndrome (Trisomy 21): Intellectual disability, flat facies, single palmar crease.
- Edwards Syndrome (Trisomy 18): Rocker-bottom feet, clenched hands.
- Patau Syndrome (Trisomy 13): Cleft lip/palate, polydactyly.
- Turner Syndrome (45,XO): Female, short stature, webbed neck.
- Klinefelter Syndrome (47,XXY): Male, tall stature, gynecomastia.

⭐ Maternal Age: Advanced maternal age (>35) significantly increases the risk of meiotic nondisjunction, particularly for Trisomy 21. Meiosis I errors are the most common cause.
High-Yield Points - ⚡ Biggest Takeaways
- Meiosis I is reductional (separates homologous chromosomes); Meiosis II is equational (separates sister chromatids).
- Crossing over in Prophase I creates new allele combinations on chromosomes, driving genetic recombination.
- Independent assortment of homologous chromosomes in Metaphase I further shuffles genes.
- Nondisjunction in Anaphase I or II causes aneuploidy (e.g., Trisomy 21).
- Meiosis produces four genetically unique haploid (n) cells from one diploid (2n) cell.
- Linkage disequilibrium describes the non-random association of alleles at different loci.
Unlock the full lesson and continue reading
Signup to continue reading this lesson and unlimited access questions, flashcards, AI notes, and more