Cardiac Silhouette - The Heart's Shadow

-
PA View Borders: The heart's edges are formed by specific chambers and great vessels.
- Right: Superior Vena Cava (SVC) and the Right Atrium (RA).
- Left: Aortic knob, main Pulmonary Artery, Left Atrial appendage, and the Left Ventricle (LV).
-
Lateral View Key Spaces:
- Retrosternal Space: Area behind the sternum. Normally clear; opacification suggests Right Ventricle (RV) enlargement.
- Retrocardiac Space: Area behind the heart. Opacification (e.g., by a double density) suggests Left Atrium (LA) enlargement.
⭐ Cardiothoracic Ratio (CTR): On a PA chest X-ray, the transverse cardiac diameter should be less than 50% of the transverse thoracic diameter. A CTR > 0.5 is a key indicator of cardiomegaly.
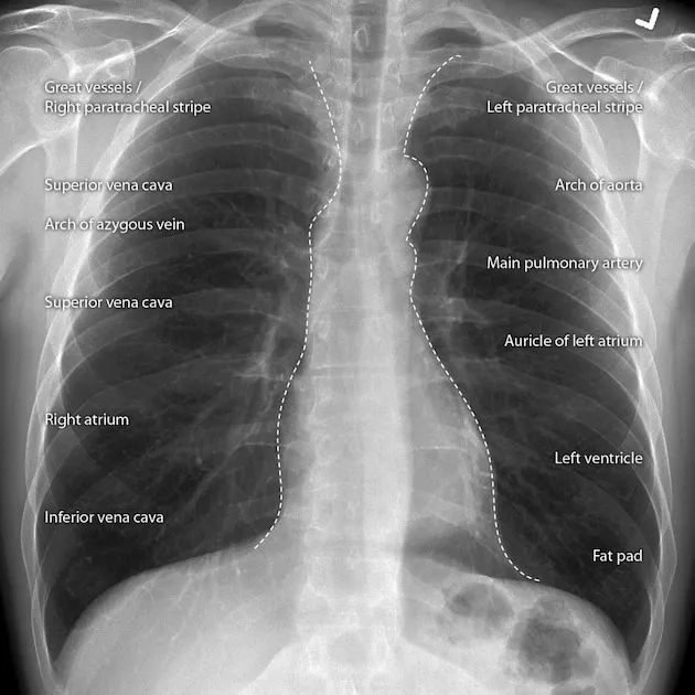
PA View Landmarks - Borders & Bosses

The cardiac silhouette on a PA chest X-ray presents distinct borders formed by different chambers and great vessels.
- Right Heart Border: Primarily formed by two convexities.
- Superior: Superior Vena Cava (SVC)
- Inferior: Right Atrium (RA)
- Left Heart Border: Composed of four "bumps" or convexities.
- Aortic Knob: The arch of the aorta.
- Main Pulmonary Artery (MPA): The "pulmonary bay".
- Left Atrial Appendage (LAA): Not always visible; enlargement suggests mitral stenosis.
- Left Ventricle (LV): Forms the cardiac apex.
- 📌 Mnemonic (Superior to Inferior): All People Love Lunges
⭐ Cardiothoracic Ratio: On a PA film, the maximum horizontal cardiac diameter should be less than 50% of the maximum horizontal thoracic diameter. A ratio >0.5 is a key indicator of cardiomegaly.
Lateral View Landmarks - A Sideways Glance

On a lateral CXR, the heart chambers are viewed from the side, revealing different borders than the PA view. Key landmarks are assessed by their relationship to the retrosternal and retrocardiac clear spaces.
-
Anterior Border: Formed almost exclusively by the Right Ventricle (RV).
- RV enlargement causes opacification (filling-in) of the normally clear retrosternal space.
-
Posterior Border: Composed of two chambers.
- Left Atrium (LA): Forms the upper third of the posterior border.
- Left Ventricle (LV): Forms the lower two-thirds.
⭐ Left Atrial Enlargement: The most reliable sign on lateral view is posterior displacement of the esophagus, often visualized with a barium swallow. Severe enlargement can cause dysphagia (dysphagia megalatriensis).
Enlargement Patterns - When Hearts Get Big
- Left Atrium (LA): Straightening of the left heart border, a "double density" sign, and splaying of the subcarinal angle to >90°.
- Right Atrium (RA): Increased convexity of the right heart border.
- Left Ventricle (LV): The cardiac apex is displaced inferiorly and to the left.
- Right Ventricle (RV): The cardiac apex is lifted upward, creating a "boot-shaped" heart. On a lateral view, it fills the retrosternal clear space.

⭐ A globally enlarged, globular, "water-bottle" shaped heart on CXR strongly suggests a large pericardial effusion, which can mimic cardiomegaly.
- The right heart border is formed by the Superior Vena Cava (SVC) and the Right Atrium.
- The left heart border comprises the aortic knob, main pulmonary artery, and left ventricle.
- A cardiothoracic ratio > 0.5 on a PA film is abnormal and suggests cardiomegaly.
- The aortic knob forms the most superior part of the left cardiac silhouette.
- The carina typically sits at the T4 vertebral level.
- The left hilum is normally higher than the right.
Unlock the full lesson and continue reading
Signup to continue reading this lesson and unlimited access questions, flashcards, AI notes, and more