Radiologic landmarks transform chaotic shadows on imaging into precise anatomical coordinates, enabling you to navigate the body with confidence across every plane and modality. You'll master the vertebral markers that anchor spinal localization, decode thoracic structures on chest films, map abdominal viscera through reliable reference points, and identify pelvic architecture that grounds lower body imaging. By integrating these landmarks across CT, MRI, and plain radiographs, you'll build the spatial fluency that separates novice image-gazers from clinicians who see pathology in context and communicate findings with surgical precision.
📌 Remember: SLAP - Skeletal, Lines, Angles, Planes - The four fundamental categories of radiologic landmarks that organize every imaging interpretation
| Landmark Type | Location | Normal Measurement | Clinical Significance | Age Variation |
|---|---|---|---|---|
| Atlantodental Interval | C1-C2 | <3mm adults, <5mm children | Cervical instability screening | Decreases with age |
| Iliopectineal Line | Pelvis | Smooth continuous arc | Acetabular fracture assessment | Unchanged |
| Spinolaminar Line | Cervical spine | Smooth lordotic curve | Ligamentous injury detection | Straightens with age |
| Cardiac Silhouette | Chest | <50% thoracic width | Cardiomegaly screening | Increases slightly |
| Bowel Gas Pattern | Abdomen | <3cm small bowel | Obstruction evaluation | Unchanged |

💡 Master This: Every radiologic interpretation follows the "Lines, Angles, Spaces" principle - disruption of normal geometric relationships indicates pathology with >85% diagnostic accuracy
⭐ Clinical Pearl: The teardrop sign on lateral cervical spine represents the anteroinferior corner of the vertebral body - its absence indicates >95% probability of compression fracture
Connect these foundational landmark principles through systematic pattern recognition to understand how anatomical relationships guide diagnostic accuracy.
📌 Remember: C3-4-5 Keeps the Diaphragm Alive - Critical cervical levels for respiratory function, with C4 as the primary phrenic nerve origin
| Cervical Level | Key Landmark | Normal Measurement | Clinical Correlation | Pathology Threshold |
|---|---|---|---|---|
| C1-C2 | Atlantodental interval | <3mm | Ligamentous stability | >5mm unstable |
| C2-C3 | First disc space | 4-6mm height | Degenerative changes | <2mm collapse |
| C3-C4 | Phrenic nerve origin | 45° facet angle | Respiratory function | Subluxation risk |
| C6-C7 | Cricoid cartilage level | 6-8mm prevertebral | Airway assessment | >10mm hematoma |
| C7-T1 | Vertebra prominens | Prominent spinous | Level identification | Transition zone |

💡 Master This: The thoracolumbar junction (T12-L1) represents the transition from kyphotic to lordotic curvature - the most biomechanically stressed region with 40% of all spinal fractures
⭐ Clinical Pearl: Chance fractures occur predominantly at L1-L2 level in seatbelt injuries, with >80% association with intra-abdominal organ damage requiring immediate surgical evaluation
Connect spinal landmark mastery through thoracic imaging principles to understand how chest radiography builds upon vertebral reference systems.

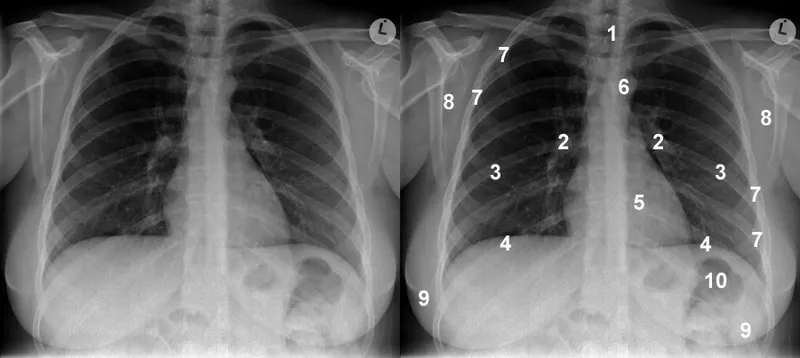
📌 Remember: ABCDEFGHI - Airway, Bones, Cardiac, Diaphragm, Effusion, Fields, Gastric, Hila, Implants - Systematic chest X-ray evaluation sequence
| Cardiac Structure | Normal Appearance | Measurement Threshold | Enlargement Pattern | Clinical Significance |
|---|---|---|---|---|
| Right Atrium | Gentle convex curve | <50% CT ratio | Increased convexity | Tricuspid disease |
| Left Atrium | Concave border | <7cm on lateral | Double density sign | Mitral valve disease |
| Left Ventricle | Rounded apex | <5.5cm from midline | Downward displacement | Systolic dysfunction |
| Aortic Arch | Prominent knob | <4cm diameter | Increased prominence | Hypertension/aging |
| Pulmonary Artery | Concave segment | <2.7cm diameter | Convex bulging | Pulmonary hypertension |

💡 Master This: The silhouette sign principle - loss of normal anatomical borders occurs only when pathology is anatomically contiguous with the structure, enabling precise lobar localization of pulmonary disease
⭐ Clinical Pearl: Hilar enlargement >3cm in diameter has >85% specificity for malignancy in patients over 40 years, requiring immediate CT evaluation for staging
Connect thoracic landmark expertise through abdominal imaging principles to understand how organ localization builds upon systematic anatomical correlation.
📌 Remember: LIVER - L1 (Celiac), I2 (SMA), V3 (Renal), E4 (Bifurcation), R5 (Iliac) - Major vascular landmarks by vertebral level
| Vertebral Level | Vascular Landmark | Organ Correlation | Surface Anatomy | Clinical Application |
|---|---|---|---|---|
| T12-L1 | Celiac trunk | Liver hilum | Xiphoid process | Hepatic surgery planning |
| L1-L2 | SMA origin | Pancreatic neck | L1 spinous process | Pancreaticoduodenectomy |
| L2 | Renal vessels | Renal hilum | 2cm above umbilicus | Nephrectomy approach |
| L3-L4 | IMA origin | Sigmoid colon | Umbilicus level | Colorectal surgery |
| L4-L5 | Aortic bifurcation | Iliac vessels | Iliac crest | Vascular surgery access |
💡 Master This: The transpyloric plane intersects 8 major anatomical structures at the L1 level - mastering this single reference enables rapid organ localization across the entire upper abdomen
⭐ Clinical Pearl: Retroperitoneal hematoma extends along fascial planes - the anterior pararenal space communicates with the pelvis, enabling >2 liters of blood loss without peritoneal signs
Connect abdominal landmark mastery through pelvic imaging principles to understand how reproductive and urological anatomy builds upon systematic reference systems.
📌 Remember: SHIP - Sacroiliac, Hip joint, Ischial spine, Pubic symphysis - The four cardinal pelvic reference points for surgical navigation
| Pelvic Landmark | Normal Measurement | Clinical Significance | Surgical Relevance | Pathology Indicator |
|---|---|---|---|---|
| Pelvic Inlet | 11-12cm AP | Obstetric assessment | Cesarean planning | <10cm cephalopelvic disproportion |
| Ischial Spines | 10-11cm distance | Labor progression | Pudendal block | Station 0 reference |
| Pubic Arch | 90-100° angle | Delivery mechanism | Episiotomy angle | <80° android pelvis |
| Acetabular Angle | 35-45° inclination | Hip stability | Arthroplasty planning | >50° dysplasia |
| Sacroiliac Joint | 2-4mm width | Pelvic stability | Fusion assessment | >6mm diastasis |
💡 Master This: The cardinal-uterosacral ligament complex provides Level I support - understanding this three-dimensional suspension system enables precise pelvic organ prolapse reconstruction with >85% success rates
⭐ Clinical Pearl: MRI pelvic floor imaging at rest, strain, and evacuation phases reveals dynamic dysfunction patterns - >2cm organ descent indicates significant prolapse requiring surgical intervention
Connect pelvic landmark expertise through advanced imaging integration to understand how multi-planar correlation enhances diagnostic precision across all body systems.
📌 Remember: SPACE - Sagittal (spine), Parasagittal (organs), Axial (cross-section), Coronal (frontal), Endoscopic (3D) - Complete spatial orientation framework
| Imaging Plane | Primary Application | Landmark Advantage | Pathology Detection | Measurement Accuracy |
|---|---|---|---|---|
| Axial | Cross-sectional anatomy | Bilateral symmetry | Asymmetric lesions | ±1mm |
| Sagittal | Spinal alignment | Vertebral relationships | Disc pathology | ±0.5mm |
| Coronal | Joint assessment | Articular surfaces | Ligament tears | ±1mm |
| Oblique | Specialized views | Specific structures | Hidden pathology | ±2mm |
| 3D Reconstruction | Surgical planning | Spatial relationships | Complex anatomy | ±0.5mm |
💡 Master This: Multi-planar reformation (MPR) enables unlimited viewing angles from a single acquisition - mastering oblique plane reconstruction reveals hidden pathology in 15-20% of cases missed on standard views
⭐ Clinical Pearl: Dual-energy CT separates calcium from contrast material with >99% accuracy, enabling virtual non-contrast images and advanced material decomposition for precise tissue characterization
Connect multi-planar mastery through rapid assessment protocols to understand how systematic landmark recognition enables efficient, accurate diagnostic workflows in clinical practice.
📌 Remember: ABCDEFGHI - Airway, Breathing, Circulation, Disability, Exposure, Focused assessment, Get vitals, History, Imaging - Emergency assessment priority sequence
| Assessment Priority | Time Target | Critical Landmark | Pathology Threshold | Miss Rate |
|---|---|---|---|---|
| C-spine stability | <30 sec | Spinolaminar line | >2mm displacement | <1% |
| Pneumothorax | <15 sec | Pleural line | Absent lung sliding | <2% |
| Aortic injury | <45 sec | Mediastinal contour | >8cm width | <5% |
| Pelvic fracture | <30 sec | Iliopectineal line | Discontinuity | <3% |
| Abdominal bleeding | <60 sec | Fascial planes | Fluid collections | <8% |
💡 Master This: Gestalt pattern recognition develops after interpreting >10,000 cases - systematic landmark assessment provides consistent accuracy regardless of experience level, achieving >95% diagnostic confidence
⭐ Clinical Pearl: "Aunt Minnie" signs - pathognomonic findings requiring immediate recognition - include pneumoperitoneum (football sign), tension pneumothorax (mediastinal shift), and aortic transection (pseudocoarctation contour)
Sign up for free to access the full lesson, plus unlimited questions, flashcards, AI-powered notes, and more.
CONTINUE READING — FREEor get the app
Have doubts about this lesson?
Ask Rezzy, your AI Study Mate, to explain anything you didn't understand
Test your understanding with these related questions
A 27-year-old male presents to the Emergency Room as a code trauma after being shot in the neck. En route, the patient's blood pressure is 127/73 mmHg, pulse is 91/min, respirations are 14/min, and oxygen saturation is 100% on room air with GCS of 15. On physical exam, the patient is in no acute distress; however, there is an obvious entry point with oozing blood near the left lateral neck above the cricoid cartilage with a small hematoma that is non-pulsatile and stable since arrival. The rest of the physical exam is unremarkable. Rapid hemoglobin returns back at 14.1 g/dL. After initial resuscitation, what is the next best step in management?