Epidermal Layers - Come Get Sun Burned
📌 Mnemonic: Come, Get Sun Burned (Superficial → Deep)
- Stratum Corneum: Topmost layer; anucleated keratin-filled cells. Basket-weave pattern.
- Stratum Granulosum: Contains keratohyaline granules; forms lipid barrier.
- Stratum Spinosum: Desmosomes connect keratinocytes (spiny look). Langerhans cells found here.
- Stratum Basale: Deepest layer; regenerative (stem) cells. Site of melanocytes and Merkel cells.

⭐ Thick skin (palms, soles) has an extra layer, the Stratum Lucidum, between the Stratum Corneum and Granulosum.
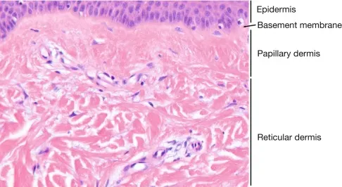
Dermis & Hypodermis - The Supportive Framework
- Dermis: Connective tissue layer providing structural and nutritional support.
- Papillary Layer: Superficial, loose connective tissue with Type I & III collagen, capillary loops, and Meissner's corpuscles (light touch).
- Reticular Layer: Deeper, dense irregular connective tissue with Type I collagen, elastin, hair follicles, glands, and sensory receptors (Pacinian, Ruffini).

- Hypodermis (Subcutis): Adipose tissue layer for insulation and shock absorption.
⭐ Langer's Lines: Tension lines in the reticular dermis corresponding to the natural orientation of collagen fibers. Surgical incisions made parallel to these lines heal with less scarring.
Specialized Cells - The Epidermal Cast
- Keratinocytes: Main epidermal cell; produces keratin for protection. Journey from basal layer to surface takes ~4 weeks.
- Melanocytes: From neural crest; in stratum basale. Synthesize melanin pigment and transfer it to keratinocytes. Ratio is 1 melanocyte to 10 basal keratinocytes.
- Langerhans Cells: Dendritic, antigen-presenting cells from bone marrow. Found in stratum spinosum. Contain racquet-shaped Birbeck granules.
- Merkel Cells: From neural crest; in stratum basale. Mechanoreceptors for light touch, associated with nerve endings.

⭐ Albinism is due to defective tyrosinase, impairing melanin production, not a ↓ in the number of melanocytes.
Skin Appendages - Glands and Hair
- Glands
- Eccrine: Simple coiled tubular glands; produce watery sweat for thermoregulation via merocrine secretion. Distributed widely.
- Apocrine: Large-lumened coiled glands in axilla/genitalia; merocrine secretion of viscous fluid into hair follicles.
- Sebaceous: Branched acinar glands; holocrine secretion of oily sebum into hair follicles.
- Hair Follicle:
- Invagination of epidermis; contains hair bulb (matrix), root, and shaft.
- Associated with sebaceous glands and arrector pili smooth muscle.

⭐ Apocrine sweat glands are misnamed; their secretory method is actually merocrine (exocytosis). True apocrine (decapitation) secretion is found in mammary glands.
- The epidermis is a stratified squamous epithelium; its layers are Corneum, Lucidum, Granulosum, Spinosum, and Basale.
- Keratinocytes are connected by desmosomes (targeted in pemphigus vulgaris); melanocytes are of neural crest origin.
- Langerhans cells in the stratum spinosum are specialized antigen-presenting cells.
- Merkel cells in the stratum basale are neuroendocrine cells essential for light touch sensation.
- The dermis anchors the epidermis and contains collagen, elastin, and adnexal structures.
Unlock the full lesson and continue reading
Signup to continue reading this lesson and unlimited access questions, flashcards, AI notes, and more