Lymphoid Architecture - The Body's Network
- Primary Organs: Sites of lymphocyte maturation.
- Bone Marrow (B cells), Thymus (T cells).
- Secondary Organs: Sites of lymphocyte activation.
- Arranged to encounter antigens; includes spleen, lymph nodes, and MALT (Mucosa-Associated Lymphoid Tissue).

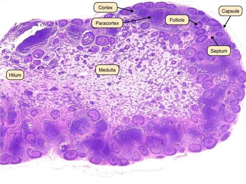
- Lymph Node Structure:
- Cortex: B-cell follicles (primary/secondary).
- Paracortex: T-cell region with high endothelial venules (HEVs) for lymphocyte entry from blood.
- Medulla: Cords (plasma cells) and sinuses (macrophages).
⭐ DiGeorge syndrome results in a poorly developed paracortex due to T-cell deficiency.
Primary Organs - T&B Cell University
-
Thymus: Encapsulated organ in the anterior mediastinum where T-cells mature. Fully formed and active at birth, it involutes with age.
- Cortex: Darkly stained, densely packed with immature thymocytes undergoing positive selection (recognizing self-MHC).
- Medulla: Paler stained, contains mature T-cells undergoing negative selection (eliminating self-reactive cells via AIRE). Features Hassall's corpuscles (keratinized epithelial whorls).
-
Bone Marrow: Central factory for all hematopoietic cells. Serves as the site for B-cell origin, maturation, and selection.
⭐ The thymus is derived from the 3rd pharyngeal pouch. Its absence in DiGeorge syndrome (22q11 deletion) causes severe T-cell deficiency.
Secondary Organs - Sites of Battle
-
Lymph Nodes: Encapsulated filters of lymph.
- Cortex: B-cell zone. Contains follicles.
- Primary follicles: Inactive, dense B-cells.
- Secondary follicles: Active, with pale germinal centers (site of B-cell proliferation).
- Paracortex: T-cell zone. Contains high-endothelial venules (HEVs) for lymphocyte entry.
- Medulla: Medullary cords (plasma cells) & sinuses (macrophages).
- Cortex: B-cell zone. Contains follicles.
-
Spleen: Encapsulated filter of blood.
- White Pulp: Lymphoid tissue.
- Periarteriolar Lymphoid Sheath (PALS): T-cells surrounding central artery.
- Follicles: B-cells.
- Red Pulp: Sinusoids & Cords of Billroth for RBC filtration.
- White Pulp: Lymphoid tissue.
-
Mucosa-Associated Lymphoid Tissue (MALT): Unencapsulated.
- e.g., Peyer's Patches (ileum), tonsils, appendix.
- Specialized M cells transport antigens.
⭐ In DiGeorge syndrome (22q11 deletion), the T-cell-rich paracortex of the lymph node is poorly developed due to thymic aplasia.

High‑Yield Points - ⚡ Biggest Takeaways
- Lymph node paracortex houses T-cells and expands during viral infections. The cortex contains B-cell follicles.
- Spleen's white pulp consists of T-cell rich periarteriolar lymphoid sheaths (PALS) and B-cell follicles.
- The thymus matures T-cells: positive selection in the cortex, negative selection in the medulla with Hassall's corpuscles.
- Peyer's patches in the ileum utilize M cells for antigen sampling from the gut lumen.
- Secondary follicles with pale germinal centers are hallmarks of B-cell activation and proliferation.
Unlock the full lesson and continue reading
Signup to continue reading this lesson and unlimited access questions, flashcards, AI notes, and more