Pituitary Gland - The Master's Workshop
| Feature | Anterior Pituitary (Adenohypophysis) | Posterior Pituitary (Neurohypophysis) |
|---|---|---|
| Origin | Oral ectoderm (Rathke's pouch) | Neuroectoderm (neural stalk) |
| Histology | Cords of epithelial cells; acidophils (GH, prolactin), basophils (FSH, LH, ACTH, TSH), chromophobes | Unmyelinated axons from hypothalamus; pituicytes (glial cells) |
| Hormones | 📌 FLAT PEG: FSH, LH, ACTH, TSH, Prolactin, Endorphins, GH | ADH (vasopressin), Oxytocin |
Thyroid & Parathyroid - Neck's Metabolic Engine
| Feature | Thyroid Gland | Parathyroid Gland |
|---|---|---|
| Main Cells | Follicular cells (cuboidal) | Chief cells (basophilic) |
| Product | Thyroglobulin → T3/T4 | Parathyroid Hormone (PTH) |
| Other Cells | Parafollicular (C) cells | Oxyphil cells (eosinophilic) |
| Function | Regulate metabolism | ↑ serum Ca²⁺ levels |
| Key Structure | Follicles with colloid | Dense cell cords |
📌 Mnemonic: Parafollicular cells produce calcitonin to put calcium into bone.
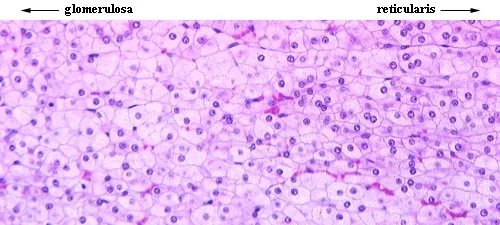
Adrenal Gland - Salty, Sweet, & Stressy

📌 Mnemonic: “Goes Faster Rushing” (Glomerulosa, Fasciculata, Reticularis) → “Salt, Sweet, Sex” (Aldosterone, Cortisol, Androgens).
| Zone | Histology (Cortex) | Primary Product | Regulated By |
|---|---|---|---|
| Glomerulosa | Balls of cells | Aldosterone (mineralocorticoid) | Angiotensin II, K+ |
| Fasciculata | Straight cords, foamy | Cortisol (glucocorticoid) | ACTH, CRH |
| Reticularis | Net-like (reticular) | DHEA (androgens) | ACTH, CRH |
| Medulla | Chromaffin cells | Catecholamines (Epi, NE) | Preganglionic sympathetic neurons |
Pancreatic Islets - The Sugar Squad

- Endocrine cell clusters (Islets of Langerhans) within the exocrine pancreas.
- Key Cell Types & Hormones:
- β-cells (center): Insulin (↓ glucose), amylin. Most abundant (~70%).
- α-cells (periphery): Glucagon (↑ glucose).
- δ-cells (interspersed): Somatostatin (inhibits insulin, glucagon, & GH).
⭐ Endogenous insulin release is marked by C-peptide; exogenous insulin lacks it.
High‑Yield Points - ⚡ Biggest Takeaways
- Pituitary gland features acidophils (GH, prolactin) and basophils (FSH, LH, ACTH, TSH).
- Thyroid follicles contain colloid; parafollicular "C" cells produce calcitonin.
- Parathyroid glands have chief cells making PTH and eosinophilic oxyphil cells.
- Adrenal cortex zones (GFR): Zona glomerulosa (salt), fasciculata (sugar), reticularis (sex).
- Adrenal medulla contains neural crest-derived chromaffin cells that secrete catecholamines.
- Pancreatic islets show central beta cells (insulin) and peripheral alpha cells (glucagon).
Unlock the full lesson and continue reading
Signup to continue reading this lesson and unlimited access questions, flashcards, AI notes, and more