CSF Production - The Brain's Brew

- Primary Site: Ependymal cells of the choroid plexus, located in the lateral, third, and fourth ventricles.
- Mechanism: An active process driven by Na+/K+ ATPase.
- Filters plasma from fenestrated choroidal capillaries.
- Secretes Na+, Cl⁻, and HCO₃⁻ into ventricles, creating an osmotic gradient that pulls water.
- Rate: ~20 mL/hr or ~500 mL/day. Total volume is ~150 mL, replaced 3-4 times daily.
⭐ Clinical Pearl: Acetazolamide is a carbonic anhydrase inhibitor that ↓ CSF production. It is a key treatment for idiopathic intracranial hypertension (pseudotumor cerebri).
CSF Circulation - The Cranial River
- Production: Choroid plexus in lateral, third, & fourth ventricles. Rate: ~20 mL/hr (~500 mL/day). Total volume: 90-150 mL.

- Functions: Buoyancy (reduces brain weight), shock absorption, waste clearance (glymphatic system), stable chemical environment.
- 📌 Mnemonic: "Love My 3 Silly 4 Lorn Magpies" → Lateral vents → Monro → 3rd vent → Sylvian aqueduct → 4th vent → Luschka → Magendie.
⭐ Communicating hydrocephalus occurs when CSF flow is blocked after exiting the ventricles (e.g., at the arachnoid granulations), causing all ventricles to enlarge.
CSF Analysis - Tapping the Truth
- Normal Values: Opening Pressure 10-20 cm H₂O; Protein <45 mg/dL; Glucose ~⅔ of serum; WBC 0-5 cells/mm³.
- Other Classic Findings:
- Subarachnoid Hemorrhage (SAH): Xanthochromia (yellow supernatant), ↑ RBCs not cleared on subsequent tubes, ↑ pressure.
- Multiple Sclerosis (MS): Oligoclonal IgG bands.
⭐ Guillain-Barré Syndrome (GBS): Features albuminocytologic dissociation - markedly ↑ protein with a normal cell count.
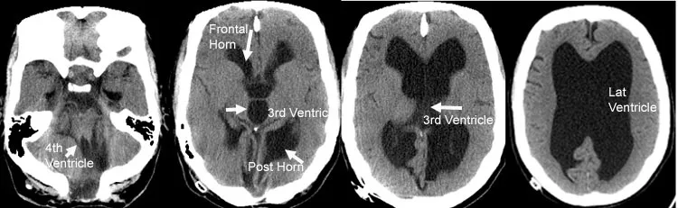
Clinical Correlates - Plumbing Problems
- Hydrocephalus: ↑ CSF volume → ventricular dilation ± ↑ Intracranial Pressure (ICP).
- Communicating (Non-obstructive): Impaired CSF reabsorption by arachnoid granulations (e.g., post-meningitis, subarachnoid hemorrhage). Ventricles are symmetrically dilated.
- Non-communicating (Obstructive): Blockage within the ventricular system (e.g., aqueductal stenosis, tumor). Dilation occurs proximal to the obstruction.

- Normal Pressure Hydrocephalus (NPH): Chronic communicating hydrocephalus in the elderly.
- 📌 Classic Triad: "Wet, Wobbly, and Wacky" → Urinary Incontinence, Gait Apraxia, and Cognitive Dysfunction.
⭐ Exam Favorite: NPH symptoms are potentially reversible with CSF shunting. The gait disturbance is often the most responsive symptom to treatment.
- Cerebrospinal fluid (CSF) is produced by the choroid plexus in the ventricles.
- Flows from lateral → third → fourth ventricles and exits via foramina of Luschka (lateral) & Magendie (medial).
- Arachnoid granulations are the primary site of CSF reabsorption into the dural venous sinuses.
- Communicating hydrocephalus results from impaired absorption, while non-communicating stems from an obstructive blockage.
- Normal opening pressure on lumbar puncture is 90-180 mm H₂O.
Unlock the full lesson and continue reading
Signup to continue reading this lesson and unlimited access questions, flashcards, AI notes, and more