Thoracic Duct - The Body's Main Drain
- The body's largest lymphatic vessel, draining lymph from ~75% of the body.
- Origin: Begins at the cisterna chyli in the abdomen (~L2 vertebra).
- Course: Ascends through the diaphragm's aortic hiatus, between the thoracic aorta and azygous vein.
- Termination: Empties into the left venous angle, the junction of the left subclavian and internal jugular veins.
- 📌 Mnemonic: The thoracic duct drains the whole body, "left and low."
⭐ Clinical Pearl: Laceration of the thoracic duct during surgery can lead to chylothorax, a milky pleural effusion.

The Grand Tour - Duct's Winding Road
- Origin: Begins as the cisterna chyli in the abdomen (at L1/L2), a sac collecting lymph from the lower body & intestines.
- Thoracic Entry: Ascends into the thorax via the aortic hiatus (at T12).
- Pathway & Termination:
- Travels superiorly in the posterior mediastinum, between the thoracic aorta and azygos vein.
- At the sternal angle (~T5), it crosses to the left.
- Finally, it arches over the left lung apex to drain into the left venous angle (junction of left internal jugular and subclavian veins).

⭐ The thoracic duct drains the entire body except for the right side of the head/neck, right arm, and right thorax, which are drained by the right lymphatic duct.
Lymphatic Zip Codes - Who Drains Where
-
Right Lymphatic Duct: Drains lymph from the body's right upper quadrant.
- Right side of head & neck
- Right arm & right side of thorax
- Right lung, right side of the heart, and a portion of the liver.
-
Thoracic Duct: Drains the remainder of the body (~75%).
- Originates from the cisterna chyli (at L1/L2 level).
- Collects lymph from the lower body, abdomen, left arm, and left side of the head, neck, and thorax.
- Empties into the junction of the left subclavian and internal jugular veins.
- 📌 Mnemonic: The DUCK is LEFT-handed (Thoracic Duct drains the left side and lower body).

⭐ Exam Favorite: The left lower lobe of the lung is a key exception, primarily draining to the right superior tracheobronchial nodes, not the left.
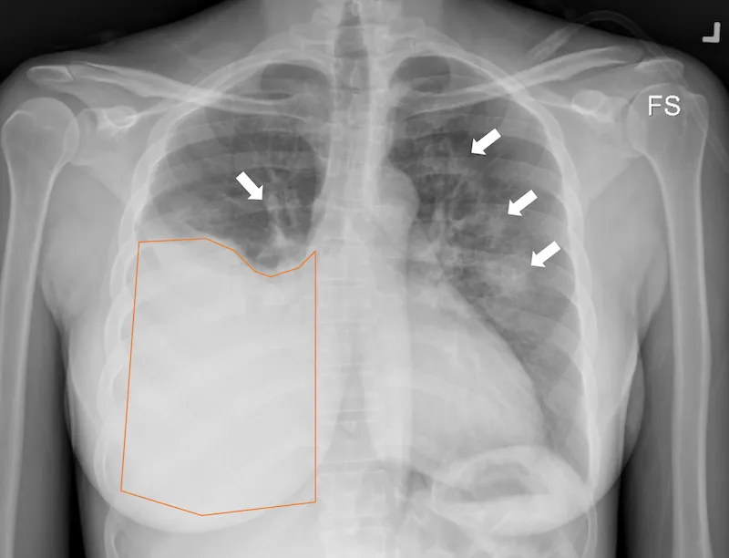
When Drainage Fails - Clinical Chaos
- Chylothorax: Lymph (chyle) accumulation in the pleural space, often from thoracic duct injury.
- Causes: Thoracic surgery (e.g., esophagectomy), chest trauma, mediastinal tumors (lymphoma).
- Presentation: Dyspnea, cough. Fluid analysis reveals a milky, opalescent appearance.

- Lymphedema: Impaired drainage causes chronic, protein-rich interstitial fluid buildup.
- Signs: Progresses from soft, pitting edema to hard, non-pitting fibrosis. Leads to thickened skin (peau d'orange) and increased risk of cellulitis.
⭐ Exam Favorite: A chylothorax is confirmed via thoracentesis. The key diagnostic finding is a pleural fluid triglyceride level > 110 mg/dL.
High‑Yield Points - ⚡ Biggest Takeaways
- The thoracic duct is the body's main lymphatic vessel, starting at the cisterna chyli.
- It drains the entire body below the diaphragm, the left side of the head, neck, thorax, and the left upper limb.
- The right lymphatic duct drains the body's right upper quadrant.
- The thoracic duct empties into the left venous angle (junction of left subclavian and internal jugular veins).
- Injury to the thoracic duct can cause a chylothorax.
Unlock the full lesson and continue reading
Signup to continue reading this lesson and unlimited access questions, flashcards, AI notes, and more