EM Fundamentals - Seeing the Unseen
- Electron Microscopy (EM) uses an electron beam and magnetic lenses in a vacuum to achieve high resolution, far exceeding light microscopy. Essential for viewing organelles.
- Types:
- Transmission (TEM): 2D image of internal ultrastructure. Electrons pass through the specimen. 📌 TEM shows Thin, Two-dimensional slices.
- Scanning (SEM): 3D surface view. Electrons scan the surface. 📌 SEM Sees the Surface.
⭐ Osmium tetroxide (OsO₄) is a heavy metal stain used in EM to fix and stain lipids, making them appear electron-dense (dark).

Microscope Showdown - TEM vs. SEM
📌 TEM = Transmits Through for a Two-D view. SEM = Scans Surface for a Superficial 3D view.
| Feature | Transmission EM (TEM) | Scanning EM (SEM) |
|---|---|---|
| Image | 2D projection (flat) | 3D surface rendering |
| View | Internal ultrastructure (e.g., organelles) | Surface topography (e.g., cell projections) |
| Mechanism | Electron beam passes Through a thin slice | Electron beam Scans over a coated surface |
| Resolution | Higher (sub-nanometer) | Lower (nanometer) |
| Key Use | Visualizing intracellular structures, viruses | Examining cell surface features, tissues |
⭐ Exam Favorite: SEM is classically used to visualize the detailed 3D topography of structures like renal podocytes, the stereocilia of the inner ear, or intestinal microvilli, which are often flattened and indistinguishable in TEM.
The Fix-Up - Specimen Prep Steps
- Fixation: Glutaraldehyde cross-links proteins; Osmium tetroxide ($OsO_4$) fixes lipids.
- Embedding: Epoxy resin provides stability for cutting under the electron beam.
- Sectioning: Ultramicrotome with a diamond knife creates ultrathin sections (60-90 nm).
- Staining: Electron-dense heavy metals (Lead citrate, Uranyl acetate) scatter electrons to create contrast.
⭐ Osmium tetroxide is key for membrane visualization. It binds to lipids, making membranes electron-dense and appear as dark lines in the final image.
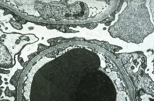
Clinical Snapshots - What EM Reveals
Electron microscopy (EM) reveals ultrastructural details invisible on light microscopy, clinching diagnoses for specific diseases.
-
Kidney Biopsy:
- Minimal Change Disease: Diffuse effacement (flattening) of podocyte foot processes.
- Membranous Nephropathy: Subepithelial immune deposits creating a “spike and dome” pattern.
- Alport Syndrome: Lamellated, basket-weave appearance of the glomerular basement membrane.
-
Other Tissues:
- Kartagener Syndrome: Absence of dynein arms in cilia, causing immotility.
- Langerhans Cell Histiocytosis: Rod-shaped Birbeck granules (“tennis rackets”) within cytoplasm.
⭐ The pathognomonic finding in Minimal Change Disease is podocyte effacement, which is only visible on EM; light microscopy appears normal.

High‑Yield Points - ⚡ Biggest Takeaways
- Electron microscopy (EM) offers superior resolution over light microscopy, visualizing cellular ultrastructure.
- Transmission EM (TEM) provides 2D images of internal components like organelles and inclusions.
- Scanning EM (SEM) generates 3D surface views, ideal for studying cell topography like microvilli.
- Key for diagnosing kidney diseases by revealing podocyte effacement in the glomerulus.
- Identifies viral particles and bacterial structures not visible with light microscopy.
- Requires specialized tissue preparation, including glutaraldehyde fixation and heavy metal staining.
Unlock the full lesson and continue reading
Signup to continue reading this lesson and unlimited access questions, flashcards, AI notes, and more