Simple Squamous - The Thin Liners
- Structure: Single layer of flattened, scale-like cells with a central, flattened nucleus.
- Function: Facilitates rapid exchange of substances via filtration and diffusion; secretion in serous membranes.
- Key Locations:
- Endothelium: Lining of heart, blood vessels, and lymphatic vessels.
- Alveoli: Air sacs in the lungs (gas exchange).
- Mesothelium: Serous membrane lining of body cavities (pleura, peritoneum).
- Bowman's Capsule: In the kidney glomerulus.

⭐ The mesothelium is the primary site of mesothelioma, a malignancy strongly linked to asbestos exposure-a classic USMLE association.
Simple Cuboidal - Secretion Specialists
- Single layer of cube-shaped cells with a central, spherical nucleus.
- Primary Functions: Secretion and absorption.
- Key Locations:
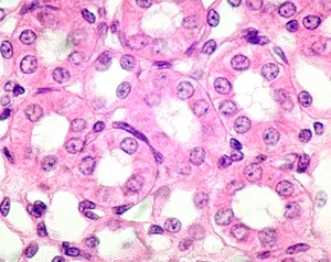
- Kidney tubules (e.g., Proximal Convoluted Tubule)
- Ducts of exocrine glands (salivary, pancreas)
- Thyroid follicles (secrete thyroid hormone)
- Surface of the ovary (termed 'germinal epithelium')

⭐ In the kidney's Proximal Convoluted Tubule (PCT), these cells feature dense apical microvilli (brush border), which massively increases the surface area for nutrient and water reabsorption.
Simple Columnar - Absorption Aces

- Morphology: Single layer of tall, rectangular cells; nuclei are elongated and typically located near the basement membrane.
- Core Functions: Primarily absorption and secretion.
- Key Locations & Specializations:
- GI Tract (Stomach to Anus): Apical microvilli (brush border) dramatically increase surface area for absorption. Interspersed Goblet cells secrete mucus.
- Fallopian Tubes/Uterus: Ciliated variant propels the ovum and embryo.
- Gallbladder: Absorption of water to concentrate bile.
⭐ Barrett's Esophagus: A classic example of metaplasia where esophageal stratified squamous epithelium changes to intestinal-type simple columnar epithelium with goblet cells due to chronic acid reflux. It is a premalignant condition for adenocarcinoma.
Pseudostratified - The Column Fakers
- Appearance: Single layer of columnar cells, but appears stratified as nuclei are at varying heights. All cells touch the basement membrane.
- Key Feature: Almost always ciliated.
- Primary Locations:
- Respiratory Tract: Trachea, bronchi (mucociliary escalator).
- Male Reproductive Tract: Epididymis, ductus deferens.
- Function: Secretion, absorption, and propulsion of mucus.
- 📌 Mnemonic: Pseudostratified Pretends to be layered.
⭐ In chronic smokers, this tissue in the trachea can undergo metaplasia to stratified squamous epithelium, impairing mucus clearance and increasing infection risk.

High‑Yield Points - ⚡ Biggest Takeaways
- Simple squamous lines alveoli and endothelium, ideal for passive diffusion.
- Simple cuboidal in kidney tubules and glands is key for secretion and absorption.
- Simple columnar lines the GI tract, with microvilli for absorption and goblet cells for mucus.
- Pseudostratified columnar, found in the trachea, uses cilia for mucociliary clearance.
- All epithelia are avascular, nourished by diffusion from underlying connective tissue.
- They are anchored to a basement membrane and connected by junctional complexes.
Unlock the full lesson and continue reading
Signup to continue reading this lesson and unlimited access questions, flashcards, AI notes, and more