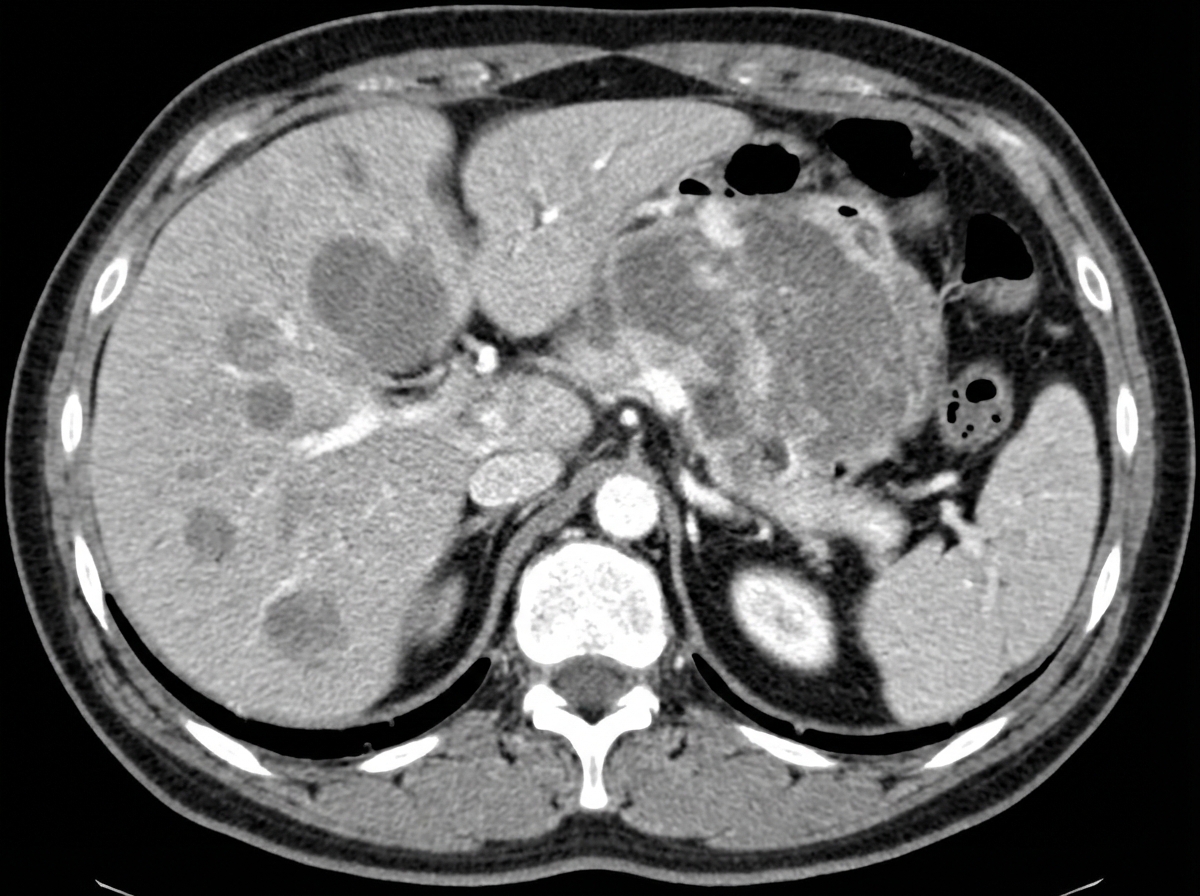
Axial Slice @ T12/L1 - The Celiac Trunk Show

- Landmarks: T12/L1 vertebral body, crus of the diaphragm.
- Great Vessels: Aorta gives rise to the celiac trunk; IVC is to the right.
- Viscera:
- Liver: Right lobe occupies the right upper quadrant.
- Spleen: Lies posterolaterally on the left.
- Stomach: Anterior to the spleen and pancreas.
- Pancreas: Body and neck are located anterior to the aorta.
- Kidneys: Superior poles are visible.
⭐ The celiac trunk is the artery of the foregut, supplying structures from the distal esophagus to the second part of the duodenum.
Axial Slice @ L1/L2 - The Transpyloric Tour

- The Transpyloric Plane (of Addison): A key horizontal plane at the L1 vertebral level, halfway between the jugular notch and pubic symphysis.
- Key Structures Visualized:
- Stomach: Pylorus
- Gallbladder: Fundus
- Pancreas: Neck, overlying the great vessels.
- Kidneys: Hila, containing renal arteries and veins.
- Vessels: Superior Mesenteric Artery (SMA) origin; Portal Vein formation.
- Spleen: Tip
- 📌 Mnemonic (L1 GHOST): Gallbladder, Hila of kidneys, Origin of SMA, Spleen, Termination of spinal cord.
⭐ The portal vein is formed posterior to the pancreatic neck by the union of the splenic and superior mesenteric veins (SMV), a critical surgical landmark.
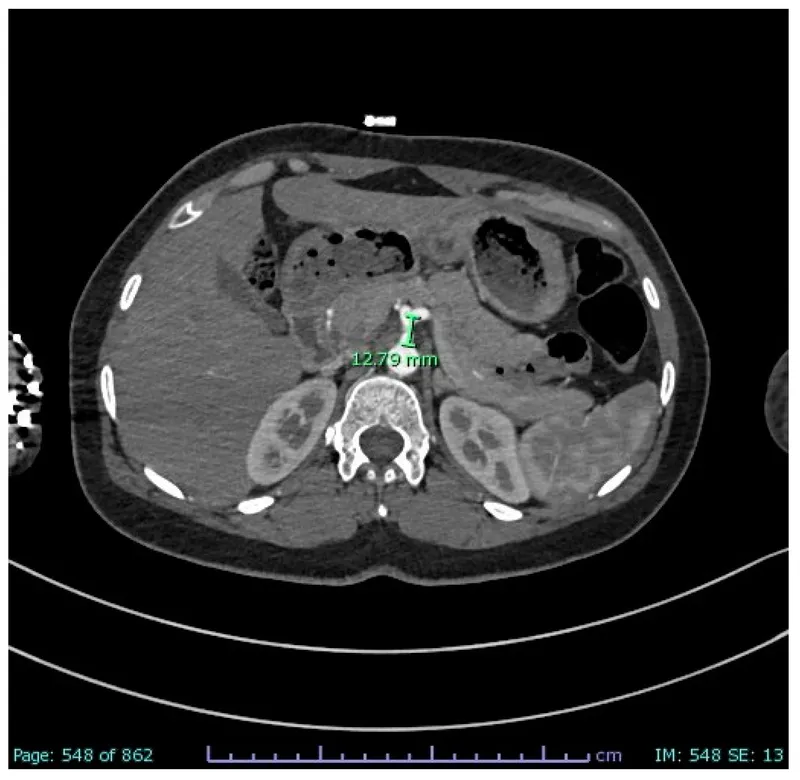
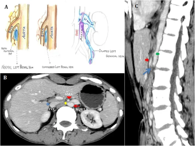
Axial Slice @ L2/L3 - The Nutcracker Crunch

- Key Structures: Kidneys, renal vessels, aorta, IVC, superior mesenteric artery (SMA), and duodenum.
- Vascular Relationship: The left renal vein (LRV) courses between the SMA anteriorly and the abdominal aorta posteriorly.
- Clinical Correlation: Compression of the LRV in this "nutcracker" can lead to renal venous hypertension, causing hematuria and flank pain.
⭐ Exam Favourite: Nutcracker syndrome is a key cause of unexplained left-sided varicocele, as the left gonadal vein drains into the high-pressure LRV.
Axial Slice @ L3 - The Duodenal Squeeze
- Key Vessels: Abdominal Aorta, IVC. The Inferior Mesenteric Artery (IMA) typically originates here-the last major unpaired branch.
- The "Squeeze": The 3rd (horizontal) part of the duodenum is compressed between the Superior Mesenteric Artery (SMA) anteriorly and the Aorta posteriorly.
- Musculature: Psoas major, Quadratus lumborum, Erector spinae.
- Viscera: Lower poles of kidneys, ureters, loops of small bowel.
⭐ SMA syndrome classically presents with postprandial epigastric pain and bilious vomiting, relieved by leaning forward or lying prone, which widens the aortomesenteric angle.

High‑Yield Points - ⚡ Biggest Takeaways
- At the T12/L1 level, identify the celiac trunk branching from the aorta, just below the diaphragm's crura.
- The L1 plane is key for the pancreas, lying transversely with its head nestled in the C-loop of the duodenum.
- The left renal vein's path between the aorta (posteriorly) and SMA (anteriorly) is a classic anatomical relationship (Nutcracker syndrome).
- The portal vein is formed posterior to the pancreatic neck by the union of the splenic and superior mesenteric veins.
- The right renal artery is longer and passes posterior to the IVC.
Unlock the full lesson and continue reading
Signup to continue reading this lesson and unlimited access questions, flashcards, AI notes, and more